CASE
CASE
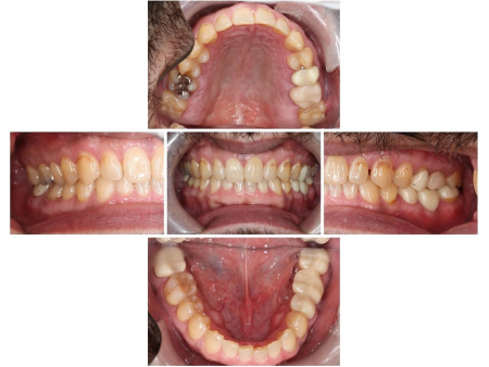
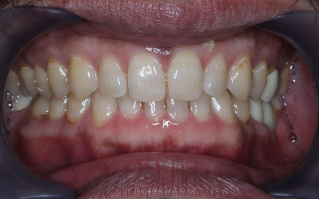
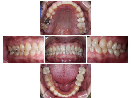
「歯の着色が気になる。白く綺麗な歯にしたい」とご相談いただきました。
拝見したところ、全体的に歯の黄ばみが目立っており口元が暗い印象でした。
また、歯の一部が白濁した「ホワイトスポット」も認められ、色のムラにつながっていました。
歯科医院で薬剤を使用して歯を白くする「オフィスホワイトニング」をご提案しました。
オフィスホワイトニングは即効性があり、短期間に3回ほど繰り返し行うことで理想の白さに近づくことをご説明したところ、ご希望いただきました。
また、ホワイトスポットに関しては、欧米で開発された薬剤「アイコン(Icon®)」を塗布して改善させる治療をご提案しました。
ホワイトスポットは、今までは歯の表面を削ることでしか解消できませんでしたが、アイコンを使用することによって歯を削らず早期に治療できることをお伝えし、こちらもご希望いただきました。
・治療中、歯にしみるような痛みが出る場合があります。
・得られる効果は歯の質により様々です。予定通りの白さに達しない場合もあります。
・自費診療(保険適用外治療)です。
年齢‧性別
40代男性
診療種別
自由診療
治療期間‧回数の⽬安
2ヶ月
治療費総額の⽬安
オフィスホワイトニング3回
アイコン(Icon®)
59,400円
| 出勤日 | 火 | 水 | 木 | 金 | 土 |
|---|---|---|---|---|---|
| 前田 | ● | ● | ● | ● | ● |
| 藤川 | / | / | / | ● | ● |
| 石川 | ● | ● | ● | ● | / |
| 根治専門医 今井 |
● | / | / | / | / |
| 根治専門医 新本 |
/ | / | ● | / | / |
| 根治専門医 三枝 |
/ | / | / | / | ● |
| 根治専門医 天野 |
/ | ● | / | ● | / |
| 矯正専門医 手嶋(月1回) |
/ | / | / | ● | / |
| インプラント専門医 簗瀬(月1回) |
/ | / | / | / | ● |
| 歯科衛生士 | ● | ● | ● | ● | ● |
| 診療時間 | 月 | 火 | 水 | 木 | 金 | 土 | 日 | 祝 |
|---|---|---|---|---|---|---|---|---|
| 9:30 - 12:30 | / | 〇 | 〇 | 〇 | 〇 | 〇 | / | / |
| 14:00 - 17:00 | / | 〇 | 〇 | 〇 | 〇 | 〇 | / | / |
【休診日】月曜日・日曜日・祝日
※お電話は診療時間内にお願いいたします。
ドクター出勤日
| 出勤日 | 火 | 水 | 木 | 金 | 土 |
|---|---|---|---|---|---|
| 前田 | ● | ● | ● | ● | ● |
| 藤川 | / | / | / | ● | ● |
| 石川 | ● | ● | ● | ● | / |
| 根治専門医 今井 |
● | / | / | / | / |
| 根治専門医 新本 |
/ | / | ● | / | / |
| 根治専門医 三枝 |
/ | / | / | / | ● |
| 根治専門医 天野 |
/ | ● | / | ● | / |
| 矯正専門医 手嶋(月1回) |
/ | / | / | ● | / |
| インプラント専門医 簗瀬(月1回) |
/ | / | / | / | ● |
| 歯科衛生士 | ● | ● | ● | ● | ● |
閉じる