"自分の歯で、豊かに生きる人生。"
そのために、当院では自由診療を
ご提供しています。
歯を本気で守りたい方、
ずっと再治療を繰り返している方。
諦めずにご相談ください。
当院には、あなたのお悩みにお応えする
準備があります。
原因療法
カウンセラー在籍
1日6人限定
マイクロスコープ
完備
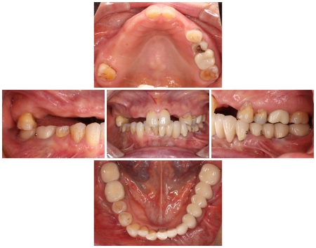
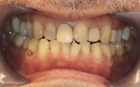
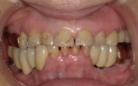
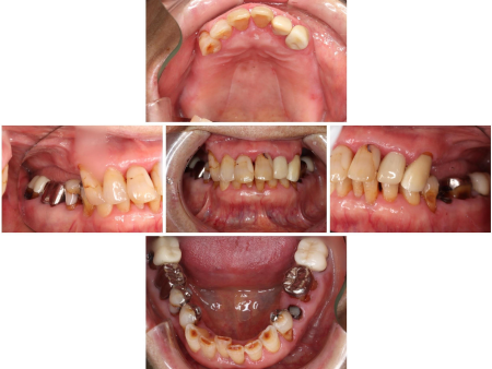
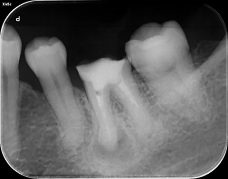
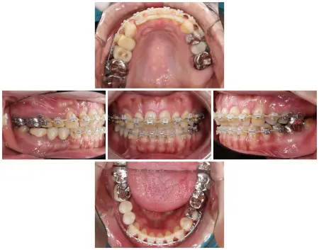
- 当院の診療方針について
- 当院は、患者様の歯をできるだけ残し、長期的に再治療を防ぎ、質の高い健康を維持することを基本方針としています。
そのため「精密さ・耐久性・生体へのやさしさ」を重視した体制をとっており、原則として自由診療の治療をご提案しています。
保険診療は、制度上「最低限の機能回復」を目的としており、治療内容や材料、治療時間に制限があります。
一方、自由診療では個々の症例に合わせた治療設計、先進的な材料・技術の使用、再発予防を見据えた治療が可能です。
初診時や緊急時の応急処置、レントゲン検査、診断などは、保険診療での対応も行っております。
その上で継続的な治療をご希望の場合、自由診療の治療内容と費用についてご納得いただいた方のみ治療を進めております。
保険診療での治療をご希望の方には、制度に則った診療体制を整えている信頼できる医療機関をご紹介します。
ご不明な点がございましたら、いつでもスタッフまでお声がけください。

















