40代男性「前歯が揺れている。見た目が気になり笑え…|歯周病治療|むし歯や歯周病の予防に特化した町田の歯医者「ウェルネスデンタルクリニック(旧:前田歯科医院)」の歯周病治療

〒194-0013 東京都町田市原町田6-26-11 岡本ビル2F

新規の患者様もLINEからお問い合わせください。

お友達登録

  • JR横浜線 町田駅から徒歩4分
  • 小田急線 町田駅から徒歩4分

診療時間

診療時間
9:30 - 12:30
14:00 - 17:00

【休診日】月曜日・日曜日・祝日

CASE

40代男性「前歯が揺れている。見た目が気になり笑え…

40代男性「前歯が揺れている。見た目が気になり笑えない」歯を支える組織に炎症が起こる重度の「若年性歯周病」を改善させ、自然な見た目の「ジルコニアブリッジ」で美しい口元にした症例

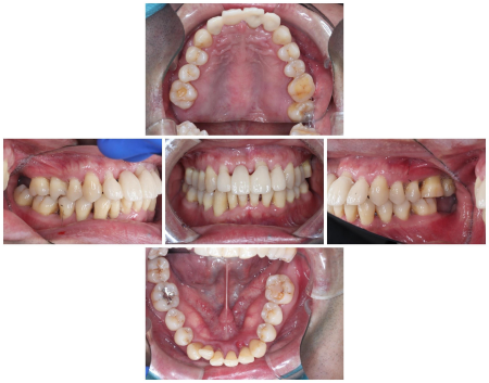
治療前

40代男性「前歯が揺れている。見た目が気になり笑えない」歯を支える組織に炎症が起こる重度の「若年性歯周病」を改善させ、自然な見た目の「ジルコニアブリッジ」で美しい口元にした症例

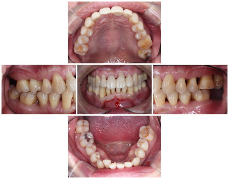
治療中

40代男性「前歯が揺れている。見た目が気になり笑えない」歯を支える組織に炎症が起こる重度の「若年性歯周病」を改善させ、自然な見た目の「ジルコニアブリッジ」で美しい口元にした症例

40代男性「前歯が揺れている。見た目が気になり笑えない」歯を支える組織に炎症が起こる重度の「若年性歯周病」を改善させ、自然な見た目の「ジルコニアブリッジ」で美しい口元にした症例

40代男性「前歯が揺れている。見た目が気になり笑えない」歯を支える組織に炎症が起こる重度の「若年性歯周病」を改善させ、自然な見た目の「ジルコニアブリッジ」で美しい口元にした症例

40代男性「前歯が揺れている。見た目が気になり笑えない」歯を支える組織に炎症が起こる重度の「若年性歯周病」を改善させ、自然な見た目の「ジルコニアブリッジ」で美しい口元にした症例

40代男性「前歯が揺れている。見た目が気になり笑えない」歯を支える組織に炎症が起こる重度の「若年性歯周病」を改善させ、自然な見た目の「ジルコニアブリッジ」で美しい口元にした症例

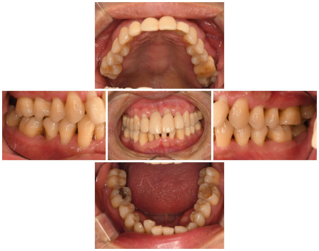
治療後

40代男性「前歯が揺れている。見た目が気になり笑えない」歯を支える組織に炎症が起こる重度の「若年性歯周病」を改善させ、自然な見た目の「ジルコニアブリッジ」で美しい口元にした症例

40代男性「前歯が揺れている。見た目が気になり笑えない」歯を支える組織に炎症が起こる重度の「若年性歯周病」を改善させ、自然な見た目の「ジルコニアブリッジ」で美しい口元にした症例

40代男性「前歯が揺れている。見た目が気になり笑えない」歯を支える組織に炎症が起こる重度の「若年性歯周病」を改善させ、自然な見た目の「ジルコニアブリッジ」で美しい口元にした症例

40代男性「前歯が揺れている。見た目が気になり笑えない」歯を支える組織に炎症が起こる重度の「若年性歯周病」を改善させ、自然な見た目の「ジルコニアブリッジ」で美しい口元にした症例

ご相談内容

「前歯が揺れている。見た目が気になり笑うことができない」とご相談いただきました。

カウンセリング‧診断結果

拝見したところ、上の前歯数本に出血と揺れが生じていました。
特に右上の前歯(中切歯/1番)は揺れが著しく、他院で応急処置がされており、口腔内で使用できる接着剤「スーパーボンド」で固定された状態でのご来院でした。

歯ぐきの検査やレントゲン撮影を行った結果、若くして歯を支える組織に炎症が起こる「若年性歯周病」が全体的に進行した状態と診断しました。

歯の表面や歯ぐきの内側には、歯周病の原因となる細菌の塊「プラーク」や、プラークが硬く石灰化した「歯石」の付着が認められました。

⾏ったご提案‧治療内容

歯周病の治療を可能な限り行って経過を観察し、揺れが強い右上の前歯を温存できるかを確認してから被せ物治療を行うことをご提案したところ、同意いただきました。

まず、歯ぐきの内側を清掃する「縁下スケーリング」と、歯ぐきを開いて歯の根を直接見ながら綺麗にする「フラップ手術」を行い、上の前歯のプラークや歯石、感染物を徹底的に取り除きました。
その後、歯に専用のパウダーを吹き付ける「エアーフロー」によるクリーニングを2週に1回の頻度で行い、出血のない歯ぐきを目指しました。

歯ぐきの回復が認められた段階で前歯を確認した結果、特に揺れが強かった右上の前歯1本以外は残せると判断しました。
そこで、温存が難しい歯を抜いてから、その隣の右上の前歯1本(側切歯/2番)と左上の前歯2本(中切歯、側切歯)を連結して橋渡しのように歯を補う被せ物「ブリッジ」で治療する方法をご案内し、ご希望いただきました。

被せ物治療の際は、歯を1本ずつ丁寧に削って土台の形に整え、まずは1段階目の仮歯を装着しました。
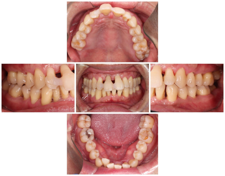
土台の形を微調整した後、口腔内の写真撮影と型取りを行い、患者様のご希望を考慮した形の本格的な仮歯を再度作製しました。

口腔内で仮歯の調整を重ねて理想的な形に仕上げてから、お顔の写真撮影や歯の色合わせ「シェードテイク」および本歯用の型取りを行いました。
また、最終的な被せ物に仮歯の形を反映させるため、被せ物を作製する「ラボ」にて仮歯の形をデジタルスキャンし、自然な白さの被せ物「ジルコニアブリッジ」を作製しました。

完成したジルコニアブリッジを実際に装着して噛み合わせを調整し、エアーフローで接着面を清潔にした後に、歯科用の接着剤「ジーセムone」で接着して治療を終了しました。

この治療のリスクについて

・ブリッジは土台となる歯に負担がかかるため、将来的に歯が揺れたり、歯の根が割れたりする可能性があります
・噛み合わせや歯ぎしりが強い場合、被せ物が破損する可能性があります
・治療が終わった後も、十分なセルフケアが必要です
・正しいブラッシングやメンテナンスを行わない場合、歯石の付着や虫歯が生じる可能性があります

年齢‧性別

40代男性

診療種別

自由診療

治療期間‧回数の⽬安

3年

治療費総額の⽬安
※記載の料金は治療当時のものです。
最新の治療費はお問い合わせください。

776,600円

to top

LINEから24時間WEB予約できます 無料カウンセリングを予約する