70代女性「綺麗な歯でしっかり噛めるようになりたい…|根管治療|むし歯や歯周病の予防に特化した町田の歯医者「ウェルネスデンタルクリニック(旧:前田歯科医院)」の根管治療

〒194-0013 東京都町田市原町田6-26-11 岡本ビル2F

新規の患者様もLINEからお問い合わせください。

お友達登録

  • JR横浜線 町田駅から徒歩4分
  • 小田急線 町田駅から徒歩4分

診療時間

診療時間
9:30 - 12:30
14:00 - 17:00

【休診日】月曜日・日曜日・祝日

CASE

70代女性「綺麗な歯でしっかり噛めるようになりたい…

70代女性「綺麗な歯でしっかり噛めるようになりたい」歯に負担がかかる低い噛み合わせを、自然な白さで適合もよい「ジルコニアセラミック」を用いて総合的に治療し、見た目も美しく改善した症例

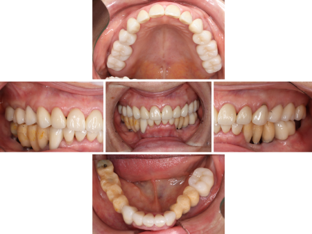
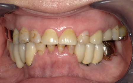
治療前

70代女性「綺麗な歯でしっかり噛めるようになりたい」歯に負担がかかる低い噛み合わせを、自然な白さで適合もよい「ジルコニアセラミック」を用いて総合的に治療し、見た目も美しく改善した症例

70代女性「綺麗な歯でしっかり噛めるようになりたい」歯に負担がかかる低い噛み合わせを、自然な白さで適合もよい「ジルコニアセラミック」を用いて総合的に治療し、見た目も美しく改善した症例

治療中

70代女性「綺麗な歯でしっかり噛めるようになりたい」歯に負担がかかる低い噛み合わせを、自然な白さで適合もよい「ジルコニアセラミック」を用いて総合的に治療し、見た目も美しく改善した症例

70代女性「綺麗な歯でしっかり噛めるようになりたい」歯に負担がかかる低い噛み合わせを、自然な白さで適合もよい「ジルコニアセラミック」を用いて総合的に治療し、見た目も美しく改善した症例

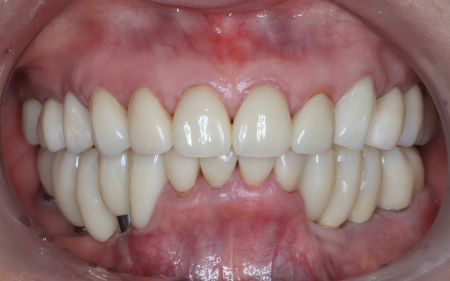
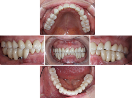
治療後

70代女性「綺麗な歯でしっかり噛めるようになりたい」歯に負担がかかる低い噛み合わせを、自然な白さで適合もよい「ジルコニアセラミック」を用いて総合的に治療し、見た目も美しく改善した症例

70代女性「綺麗な歯でしっかり噛めるようになりたい」歯に負担がかかる低い噛み合わせを、自然な白さで適合もよい「ジルコニアセラミック」を用いて総合的に治療し、見た目も美しく改善した症例

ご相談内容

約38年前より継続してご通院いただいている患者様に、噛み合わせや歯の見た目に関する問題が認められました。

カウンセリング‧診断結果

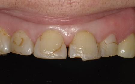
患者様は噛み合わせの高さが本来の位置より低くなっており、顎の関節や一部の歯に負担がかかりやすい状態でした。
以前治療した詰め物や被せ物に関しても着色や劣化が見られ、見た目が気になるとともに将来的な歯の寿命が短くなる可能性もありました。

また、患者様は過去に当院で人工歯根を利用した「インプラント治療」を受けており、右下(第1小臼歯/4番、第1大臼歯/6番、第2大臼歯/7番)と左下(犬歯/3番、第1小臼歯、第2小臼歯/5番)にそれぞれ3本ずつのインプラントが入っていました。

⾏ったご提案‧治療内容

インプラント部位を含めた全ての歯を新しく被せ直し、見た目と噛み合わせの高さを総合的に改善させる「全顎治療(ぜんがくちりょう)」をご提案しました。
部分的な治療では理想的な見た目や噛み合わせを実現することは難しいことや、口腔内全体のバランスを整えることで歯の健康をより長く維持できることを丁寧にご説明しました。
患者様は「綺麗な歯でしっかり噛めるようになりたい。できるだけ歯を長く残したい」とご希望され、治療に同意いただきました。

まず、最終的な噛み合わせや歯並びをシミュレーションするための歯の模型「プランニングワックスアップ」を作製し、被せ物の形や大きさ、交換する順番などを決定しました。
その後、治療期間や料金について患者様に再度ご提案しご了承いただいた上で、インプラントも含めた上下全ての歯を、自然な白さで適合もよい「ジルコニアセラミック」の被せ物に置き換えていきました。

この治療のリスクについて

・セラミックの装着に際し、天然歯を削る必要があります
・硬い素材の場合、他の天然歯を傷つけることがあります
・噛み合わせや歯ぎしりが強い場合、セラミックが割れる可能性があります

年齢‧性別

70代女性

診療種別

自由診療

治療期間‧回数の⽬安

2年

治療費総額の⽬安
※記載の料金は治療当時のものです。
最新の治療費はお問い合わせください。

3,974,140円

その他

70代女性「綺麗な歯でしっかり噛めるようになりたい」歯に負担がかかる低い噛み合わせを、自然な白さで適合もよい「ジルコニアセラミック」を用いて総合的に治療し、見た目も美しく改善した症例

to top

LINEから24時間WEB予約できます 無料カウンセリングを予約する