50代女性 マイクロスコープを用いた精密な治療で歯の…|むし歯治療|むし歯や歯周病の予防に特化した町田の歯医者「ウェルネスデンタルクリニック(旧:前田歯科医院)」のむし歯治療

〒194-0013 東京都町田市原町田6-26-11 岡本ビル2F

新規の患者様もLINEからお問い合わせください。

お友達登録

  • JR横浜線 町田駅から徒歩4分
  • 小田急線 町田駅から徒歩4分

診療時間

診療時間
9:30 - 12:30
14:00 - 17:00

【休診日】月曜日・日曜日・祝日

CASE

50代女性 マイクロスコープを用いた精密な治療で歯の…

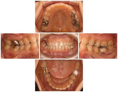
50代女性 マイクロスコープを用いた精密な治療で歯の根に侵入した細菌を取り除きジルコニアクラウンで修復した症例

治療前

50代女性 マイクロスコープを用いた精密な治療で歯の根に侵入した細菌を取り除きジルコニアクラウンで修復した症例

50代女性 マイクロスコープを用いた精密な治療で歯の根に侵入した細菌を取り除きジルコニアクラウンで修復した症例

50代女性 マイクロスコープを用いた精密な治療で歯の根に侵入した細菌を取り除きジルコニアクラウンで修復した症例

50代女性 マイクロスコープを用いた精密な治療で歯の根に侵入した細菌を取り除きジルコニアクラウンで修復した症例

治療中

50代女性 マイクロスコープを用いた精密な治療で歯の根に侵入した細菌を取り除きジルコニアクラウンで修復した症例

50代女性 マイクロスコープを用いた精密な治療で歯の根に侵入した細菌を取り除きジルコニアクラウンで修復した症例

50代女性 マイクロスコープを用いた精密な治療で歯の根に侵入した細菌を取り除きジルコニアクラウンで修復した症例

治療後

50代女性 マイクロスコープを用いた精密な治療で歯の根に侵入した細菌を取り除きジルコニアクラウンで修復した症例

50代女性 マイクロスコープを用いた精密な治療で歯の根に侵入した細菌を取り除きジルコニアクラウンで修復した症例

50代女性 マイクロスコープを用いた精密な治療で歯の根に侵入した細菌を取り除きジルコニアクラウンで修復した症例

ご相談内容

「左下の歯を過去に治療したが、虫歯が再発してしまった。現在治療途中だが、痛みが続いて不安なため、こちらの歯科医院で診てもらいたい」とご相談いただきました。

カウンセリング‧診断結果

拝見したところ、左下の奥歯に「根尖性(こんせんせい)歯周炎」が生じ、痛みの原因になっていると考えられました。
根尖性歯周炎とは、神経が死んでしまった歯や神経を取って治療した歯の内部に細菌が侵入し、歯根の先端が炎症を起こす病気です。

このままだと炎症がさらに広がって痛みが強くなり、最終的には歯を失うおそれもあるため、早急な治療が必要であると判断しました。

⾏ったご提案‧治療内容

神経の治療である「根管治療」をした歯に対して、再び根管治療を行う「再根管治療」を提案しました。
以下も併せてお伝えし、治療に同意いただきました。
・歯科用顕微鏡「マイクロスコープ」を使用し、根の内部を洗浄・消毒して徹底的に細菌を除去する「精密根管治療」を行う
・新しい被せ物は、虫歯の再発リスクが低く耐久性の高い「ジルコニアクラウン」で作製する

マイクロスコープは、肉眼では見えにくい小さな患部を拡大して確認できるため、根の内部にある感染源を正確に取り除くことが可能です。これにより、将来的に歯を失ったり感染が再発したりするリスクの低減が期待できます。

まず、唾液や雑菌が入らないよう、ゴム製のシートを被せて治療部位だけを露出させる「ラバーダム防湿」を施してから、マイクロスコープで観察しながら慎重に痛みの原因を探りました。
治療中に以下の3点が確認できました。

①根管の入り口「根管口部」が硬くなり塞がってしまう「石灰化」の状態のため、治療器具が根管内に届かず未処置の根管がある
②根管治療の最終段階である「根管充填」で使用する材料「ガッタパーチャポイント(GP)」の取り残しがあり硬くなっている。古いGPが残っていると、そこから汚れや細菌が入り込み細菌感染の原因になる場合がある
③神経の通り道である根管の壁「根管壁」に異変が生じている。根管壁が極端に薄くなっていたり、治療で使用する器具により穴が空いていたりすると汚れや細菌が入り込み、細菌感染の原因になる場合がある

これら3点について、それぞれ処置を行っています。
①:塞がっていた根管口部を超音波で削り、根管を発見
②③:硬化したGPを器具を使って除去し、次亜塩素酸を使用して根管内の洗浄・消毒を行い、根管壁を修復

その後、殺菌効果や神経の残骸などを溶かす効果のある「水酸化カルシウム製剤貼薬」を根管内に置き、唾液などの水分で硬化する仮封材「キャビトン」で次回の治療まで仮で覆っておきます。

1週間後、根管内がきれいになったことを確認できたため、GPを詰めて根管充填を行いました。
GPと根管をくっつける接着剤の役割をもつ「シーラー」には、硬化時に膨張することで緊密な充填が可能な「Bio(バイオ)シーラー」を使用しました。

根管充填後は、しなやかで丈夫な素材「ファイバーポストコア」を根管に立て、周りを土台作り用のプラスチック材料「ユニフィルコアEMレジン」で埋めて土台を作ります。
次に、被せ物を装着できるよう土台の形を整えて型取りを行い、被せ物を作製します。

最後に、完成したジルコニアクラウンを装着し、噛み合わせに問題がないことを確認して治療を終了しました。

この治療のリスクについて

・まれに根管治療後も再治療、外科手術、抜歯などの処置が必要となる場合があります
・治療中まれに器具の破折、被せ物や詰め物など修復物の損傷、歯の破折が起こる場合があります
・治療中や治療後に不快症状が出たり、治療後に痛みや腫れなどが生じたりする可能性があります
・装着に際し、天然歯を削る場合があります
・硬い素材の場合、他の天然歯を傷つけることがあります
・噛み合わせや歯ぎしりが強い場合、セラミックが割れる可能性があります

年齢‧性別

50代女性

診療種別

自由診療

治療期間‧回数の⽬安

6回
(神経の治療は3回、歯の形を整える〜被せ物装着まで3回)

治療費総額の⽬安
※記載の料金は治療当時のものです。
最新の治療費はお問い合わせください。

約410,000円
(神経の治療、土台、被せ物)
※被せ物の種類は選べます

to top

LINEから24時間WEB予約できます 無料カウンセリングを予約する