CASE
CASE
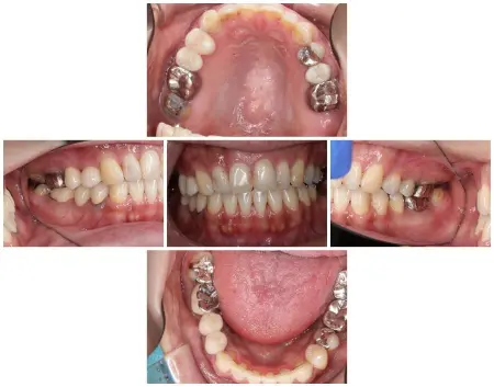
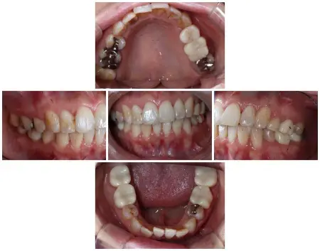
「矯正治療後に虫歯ができたので治したい」と来院いただきました。
拝見したところ、矯正治療後の後戻りを防ぐ装置が上下全体に装着されていましたが、前歯3本に虫歯が生じていました。
矯正治療中は、装置が歯ブラシの妨げとなりお口の清掃が難しくなるため、虫歯のリスクが高まります。
根管治療専門医による診察の結果、虫歯3本のうち、右上の側切歯と左上の中切歯は虫歯が深く神経まで達しているため、神経を治療し薬を詰める「根管治療」が必要でした。
幸いなことに左上の側切歯の虫歯は神経に達しておらず、温存できる状態です。
以上を踏まえ、虫歯治療と根管治療を行ったあと、前歯を被せ物で修復する必要があると診断しました。
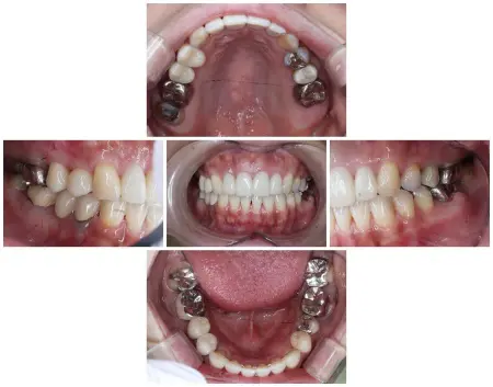
矯正装置を取り外したあと、右上側切歯と左上中切歯の虫歯除去と根管治療を行い、左上側切歯については虫歯部分を取り除き、形を整えてから型取りをして被せ物で修復する治療を説明しました。
また、被せ物の材質には、耐久性に優れ自然な歯の色を再現できる「ジルコニア」をおすすめしています。
加えて、見た目の美しさと噛み合わせを改善するため、虫歯治療を施す歯に挟まれている右上の中切歯を含む計4本の前歯をジルコニアで修復することを提案したところ、治療に同意いただきました。
まず前歯3本の虫歯を除去し、右上側切歯と左上中切歯に根管治療を行いました。
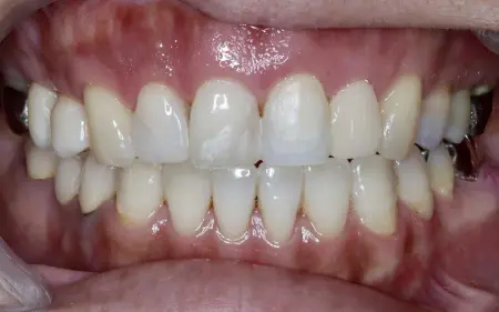
次に、歯の形と噛み合わせを検証するための仮歯「ファーストプロビジョナルクラウン」を作製します。
その後、患者様の要望を取り入れたうえで、見た目の美しさと噛み合わせを改善した仮歯「セカンドプロビジョナルクラウン」を作製しました。
当院では、プロビジョナルクラウンを2回作製することで、理想的な見た目と噛み合わせを実現しています。
患者様に見た目と噛み合わせに満足いただいたことから、セカンドプロビジョナルクラウンをカメラでスキャンして3Dデータ化し、最終的な被せ物を作製しました。
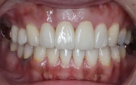
後日、完成したジルコニアクラウンを上の前歯4本に装着し、治療を終了しました。
・治療中に痛みを伴う場合があります
・治療中や治療後に不快症状が出たり、治療後に痛みや腫れなどが生じたりする可能性があります
・治療後に正しい歯磨きやメンテナンスを怠ると、虫歯が再発する場合があります
・装着に際し、天然歯を削る必要があります
・噛み合わせや歯ぎしりが強い場合、セラミックが割れる可能性があります
・一部の治療を除き、自費診療(保険適用外治療)です
年齢‧性別
40代女性
診療種別
自由診療
治療期間‧回数の⽬安
1年
治療費総額の⽬安
※記載の料金は治療当時のものです。
最新の治療費はお問い合わせください。
878,000円
| 出勤日 | 火 | 水 | 木 | 金 | 土 |
|---|---|---|---|---|---|
| 前田 | ● | ● | ● | ● | ● |
| 藤川 | / | / | / | ● | ● |
| 石川 | ● | ● | ● | ● | / |
| 根治専門医 今井 |
● | / | / | / | / |
| 根治専門医 新本 |
/ | / | ● | / | / |
| 根治専門医 三枝 |
/ | / | / | / | ● |
| 根治専門医 天野 |
/ | ● | / | ● | / |
| 矯正専門医 手嶋(月1回) |
/ | / | / | ● | / |
| インプラント専門医 簗瀬(月1回) |
/ | / | / | / | ● |
| 歯科衛生士 | ● | ● | ● | ● | ● |
| 診療時間 | 月 | 火 | 水 | 木 | 金 | 土 | 日 | 祝 |
|---|---|---|---|---|---|---|---|---|
| 9:30 - 12:30 | / | 〇 | 〇 | 〇 | 〇 | 〇 | / | / |
| 14:00 - 17:00 | / | 〇 | 〇 | 〇 | 〇 | 〇 | / | / |
【休診日】月曜日・日曜日・祝日
※お電話は診療時間内にお願いいたします。
ドクター出勤日
| 出勤日 | 火 | 水 | 木 | 金 | 土 |
|---|---|---|---|---|---|
| 前田 | ● | ● | ● | ● | ● |
| 藤川 | / | / | / | ● | ● |
| 石川 | ● | ● | ● | ● | / |
| 根治専門医 今井 |
● | / | / | / | / |
| 根治専門医 新本 |
/ | / | ● | / | / |
| 根治専門医 三枝 |
/ | / | / | / | ● |
| 根治専門医 天野 |
/ | ● | / | ● | / |
| 矯正専門医 手嶋(月1回) |
/ | / | / | ● | / |
| インプラント専門医 簗瀬(月1回) |
/ | / | / | / | ● |
| 歯科衛生士 | ● | ● | ● | ● | ● |
閉じる