CASE
CASE
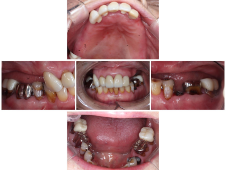
24年前よりご来院いただいている患者様です。
定期検診の際に「噛み合わせや歯の見た目が気になる」とご相談いただきました。
患者様は噛み合わせの高さが本来の位置より低くなっており、下の前歯が上の前歯を突き上げていることで、上の前歯に負担がかかり外側に傾いてしまう「フレアアウト」が起こっていました。
また、上の前歯の裏側の歯ぐきが膨らんだ部分「切歯乳頭(せっしにゅうとう)」にまで下の前歯が噛み込んでおり、歯ぐきが傷つきやすい状態でした。
上の左右の奥歯(第1小臼歯/4番〜第2大臼歯/7番)は欠損しており、取り外し式の部分的な「入れ歯」をご使用でした。
また、残っている歯に関しては神経が残っている「生活歯」と、神経がなく被せ物で治療されている「失活歯」が混在していました。
低い噛み合わせは、噛んだ時に入れ歯やご自身の歯にも負担をかけます。
入れ歯の破損や歯の喪失につながるため、噛み合わせを本来の高さに改善する必要があると診断しました。
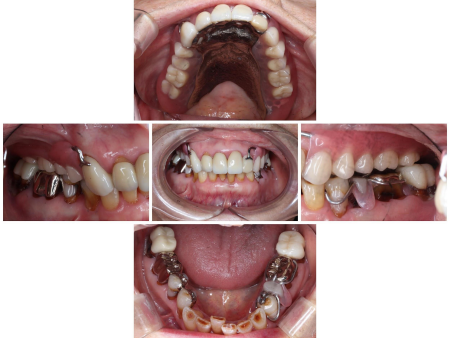
上あごに残っている歯を適宜新しい被せ物に置き換えてから、適合の良い金属の部分入れ歯を作製する治療をご提案しました。
上あごを全体的に治療することで、噛み合わせを本来の位置まで高くできることをご説明し、同意いただきました。
また、左上の糸切り歯(犬歯/3番)については、精査した結果抜歯が望ましいことをお伝えし、ご了承の上実施しました。
まず、上の前歯4本(右上犬歯〜左上中切歯/1番)を丁寧に削り、1段階目の仮歯を装着しました。
土台の形を整えた後、お口の中の写真撮影と型取りを行い、患者様のご希望を反映した本格的な仮歯を再度作製しました。
仮歯の調整を重ねて理想的な形に仕上げてから、お顔の写真撮影や歯の色合わせ「シェードテイク」を行い、本歯用の精密な型取りを行いました。
本歯に仮歯の形を反映させるため、被せ物を作製する当院の「ラボ」にて仮歯の形をデジタルスキャンし、自然な白さで適合も良い被せ物「ジルコニアクラウン」を作製しました。
出来上がったジルコニアクラウンを実際に装着して噛み合わせを調整し、接着する前に入れ歯を作製するための型取りを行いました。
その後、クリーニング用の機械「エアーフロー」を用いて接着面を清潔にし、歯科用の接着剤「ジーセムone」で被せ物を接着しました。
最後に、完成した金属の部分入れ歯を装着し、噛み合わせや適合を確認しながら数回調整を繰り返しました。
・噛み合わせや歯ぎしりが強い場合、被せ物が割れる可能性があります
・入れ歯は着脱式のため、食後の清掃が必要です
・入れ歯は最初のうちは異物感があり、慣れるまで時間がかかる場合があります
年齢‧性別
80代女性
診療種別
自由診療
治療期間‧回数の⽬安
1年
治療費総額の⽬安
1,199,000円
| 出勤日 | 火 | 水 | 木 | 金 | 土 |
|---|---|---|---|---|---|
| 前田 | ● | ● | ● | ● | ● |
| 藤川 | / | / | / | ● | ● |
| 石川 | ● | ● | ● | ● | / |
| 根治専門医 今井 |
● | / | / | / | / |
| 根治専門医 新本 |
/ | / | ● | / | / |
| 根治専門医 三枝 |
/ | / | / | / | ● |
| 根治専門医 天野 |
/ | ● | / | ● | / |
| 矯正専門医 手嶋(月1回) |
/ | / | / | ● | / |
| インプラント専門医 簗瀬(月1回) |
/ | / | / | / | ● |
| 歯科衛生士 | ● | ● | ● | ● | ● |
| 診療時間 | 月 | 火 | 水 | 木 | 金 | 土 | 日 | 祝 |
|---|---|---|---|---|---|---|---|---|
| 9:30 - 12:30 | / | 〇 | 〇 | 〇 | 〇 | 〇 | / | / |
| 14:00 - 17:00 | / | 〇 | 〇 | 〇 | 〇 | 〇 | / | / |
【休診日】月曜日・日曜日・祝日
※お電話は診療時間内にお願いいたします。
ドクター出勤日
| 出勤日 | 火 | 水 | 木 | 金 | 土 |
|---|---|---|---|---|---|
| 前田 | ● | ● | ● | ● | ● |
| 藤川 | / | / | / | ● | ● |
| 石川 | ● | ● | ● | ● | / |
| 根治専門医 今井 |
● | / | / | / | / |
| 根治専門医 新本 |
/ | / | ● | / | / |
| 根治専門医 三枝 |
/ | / | / | / | ● |
| 根治専門医 天野 |
/ | ● | / | ● | / |
| 矯正専門医 手嶋(月1回) |
/ | / | / | ● | / |
| インプラント専門医 簗瀬(月1回) |
/ | / | / | / | ● |
| 歯科衛生士 | ● | ● | ● | ● | ● |
閉じる