CASE
CASE
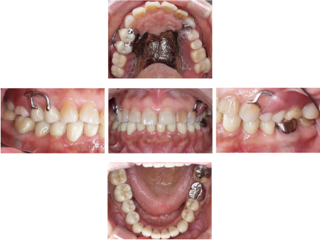
「左上奥歯に痛みがあり、歯ぐきも腫れている。右上の部分入れ歯もあまりよく噛めない。他院にて痛みや腫れを相談したところ様子を見るように言われたが、なかなか治らないため診てほしい」とお困りの様子で、当院のホームページを見てご来院いただきました。
拝見したところ、左上奥歯(第1大臼歯 /6番)が欠損しており、前後の歯を削って橋渡しのように被せ物を入れる「ブリッジ」で補っていました。
ブリッジを支えている手前の歯(第2小臼歯/5番)の歯ぐきに腫れや痛みがあり、これは歯ぐきや歯を支える骨が細菌感染したことが原因と考えられます。
症状がかなり進行していたため治療しても残すことが難しく、残念ながら抜歯が必要と診断しました。
また、銀歯が入っている左上の歯2本(第1小臼歯/4番、第2大臼歯/7番)は内部で虫歯が再発しており、歯を温存するためには虫歯の再治療が必要です。
右上奥歯2本(第1大臼歯、第2大臼歯)の欠損部位は部分的な入れ歯で補っていますが、入れ歯が合っていないためしっかり噛めていませんでした。
診断結果を丁寧に説明し、まずは左上第2小臼歯の抜歯に同意いただきました。
一般的に、失った歯を補う方法には、人工の歯根をあごの骨に埋めて歯を装着する「インプラント治療」、部分入れ歯、ブリッジでの治療がありますが、欠損している場所や本数、周りの歯の状態を考慮すると、ブリッジでの治療は残っている歯の負担が大きく、今回は適切ではありません。
患者様は「外科処置をしたくないのでインプラント治療は避けたい」との理由で部分入れ歯をご希望されたため、右上奥歯の欠損部位と抜歯予定の左上第2小臼歯を1つの部分入れ歯でまとめて補うことにしました。
また、下の歯のすり減りが激しいことにより噛み合わせの高さが低くなっており、この状態で上の部分入れ歯を作製した場合、噛んだ時に入れ歯が下の歯に強く当たり壊れる恐れがあります。
そこで入れ歯作製の前に、下の歯全体に被せ物を装着し噛み合わせを上げる方法を説明し、ご了承いただきました。
虫歯が再発している左上の歯2本(第1小臼歯、第2大臼歯)については、歯の内部の感染組織を綺麗に取り除く「根管治療」で温存を図る治療をご提案し、こちらも同意いただきました。
まずは抜歯を行い、その後左上2本の根管治療を開始しました。今回は患者様とご相談の上、より精密な処置を行うことができ虫歯が再発しにくい、自費の根管治療を選択しています。
施術の際は歯の周りをゴムのシートで覆う「ラバーダム防湿」を行い、治療部位が唾液などで汚染されないよう配慮しました。
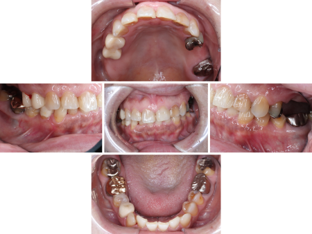
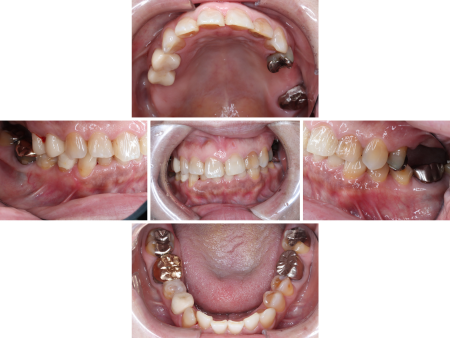
治療を進める中で奥側の第2大臼歯は治療しても長くはもたないと判断し、患者様に納得いただいた上で抜歯を実施しました。手前の第1小臼歯は残すことができましたが、被せ物を支えるだけの耐久性がなかったため、抜歯した第2大臼歯と合わせて入れ歯による治療計画を提案し、ご了承いただいております。
その後、下の被せ物治療を開始しました。最初に被せ物装着後のお口の中を再現するために模型を作製し、入れ歯を入れる高さが十分に確保され下の歯に当たらないことを確認後、下の歯12本(右下第2大臼歯〜左下第2小臼歯)に順次被せ物を作製・装着して噛み合わせの高さを上げていきました。
被せ物は自然な白さで耐久性もある「ジルコニアクラウン」を採用しています。
最後に上の部分入れ歯として、適合がよく装着時の違和感が少ない「金属床義歯」を作製し、治療を終了しました。
・抜歯後は腫れ、出血が生じる場合があります
・根管治療中や治療後に不快症状が出たり、治療後に痛みや腫れなどが生じたりする可能性があります
・ジルコニアの装着に際し、天然歯を削る必要があります
・噛み合わせや歯ぎしりが強い場合、ジルコニアが割れる可能性があります
・入れ歯は着脱式のため、食後の清掃が必要です
・最初のうちは異物感があり、慣れるまで時間がかかる場合があります
年齢‧性別
60代女性
診療種別
自由診療
治療期間‧回数の⽬安
2年3ヶ月
治療費総額の⽬安
3,700,000円
| 出勤日 | 火 | 水 | 木 | 金 | 土 |
|---|---|---|---|---|---|
| 前田 | ● | ● | ● | ● | ● |
| 藤川 | / | / | / | ● | ● |
| 石川 | ● | ● | ● | ● | / |
| 根治専門医 今井 |
● | / | / | / | / |
| 根治専門医 新本 |
/ | / | ● | / | / |
| 根治専門医 三枝 |
/ | / | / | / | ● |
| 根治専門医 天野 |
/ | ● | / | ● | / |
| 矯正専門医 手嶋(月1回) |
/ | / | / | ● | / |
| インプラント専門医 簗瀬(月1回) |
/ | / | / | / | ● |
| 歯科衛生士 | ● | ● | ● | ● | ● |
| 診療時間 | 月 | 火 | 水 | 木 | 金 | 土 | 日 | 祝 |
|---|---|---|---|---|---|---|---|---|
| 9:30 - 12:30 | / | 〇 | 〇 | 〇 | 〇 | 〇 | / | / |
| 14:00 - 17:00 | / | 〇 | 〇 | 〇 | 〇 | 〇 | / | / |
【休診日】月曜日・日曜日・祝日
※お電話は診療時間内にお願いいたします。
ドクター出勤日
| 出勤日 | 火 | 水 | 木 | 金 | 土 |
|---|---|---|---|---|---|
| 前田 | ● | ● | ● | ● | ● |
| 藤川 | / | / | / | ● | ● |
| 石川 | ● | ● | ● | ● | / |
| 根治専門医 今井 |
● | / | / | / | / |
| 根治専門医 新本 |
/ | / | ● | / | / |
| 根治専門医 三枝 |
/ | / | / | / | ● |
| 根治専門医 天野 |
/ | ● | / | ● | / |
| 矯正専門医 手嶋(月1回) |
/ | / | / | ● | / |
| インプラント専門医 簗瀬(月1回) |
/ | / | / | / | ● |
| 歯科衛生士 | ● | ● | ● | ● | ● |
閉じる