CASE
CASE
「入れ歯の調子が悪いからメンテナンスしてほしい」とご相談いただきました。
2019年から当院に通われている患者様で、2019年以前にほかの歯科医院で作製した入れ歯を装着されていました。
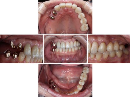
拝見したところ、上の奥歯6本(左第1小臼歯/4番、左右第2小臼歯/5番、右第1大臼歯/6番、左右第2大臼歯/7番)と右下の奥歯2本(第1大臼歯、第2大臼歯)が欠損しており、その部分を補うために装着されていた義歯が劣化している状態でした。
また、過去に一度、人工歯根をあごの骨に埋めて自分の歯のように噛める「インプラント治療」も検討されたとのことで、当院でも検査を行ったところ、やはりインプラントに必要な骨の量や高さが不足していました。
被せ物が装着されている歯のうち、左下の奥歯3本(第2小臼歯、第1大臼歯、第2大臼歯)と右上の前歯2本(中切歯/1番、側切歯/2番)は、過去に歯の神経が入っている管をきれいにして薬剤を詰める「根管治療」が行われており、右上の奥歯(第1小臼歯)と左上の前歯(犬歯/3番)、左上の奥歯(第1大臼歯)の3本は神経が残っていたものの、計6本については神経が炎症を起こしている状態でした。
残念ながら劣化している義歯を使い続けるとお口にフィットせず、歯ぐきを痛めたりあごやほかの歯に負担がかかったりする可能性があります。
また、被せ物自体にも劣化や破損が見られることから、歯と合っていない被せ物の隙間から細菌が入り込んだ場合、細菌感染により将来的に歯の寿命が短くなってしまうことが予想されます。
そのため、神経を処置したあとに義歯や被せ物を新たに作り直す必要があると診断しました。
義歯や被せ物を新しく作り直す前に、神経が炎症を起こしていた歯6本(左上犬歯、右上第1小臼歯、左下第2小臼歯、左上下第1大臼歯、左下第2大臼歯)は根管治療が必要であることを説明しました。
当院の根管治療は、歯科専門医が治療する歯に唾液や細菌が入らないようゴムのシートで保護する「ラバーダム防湿」を施し、清潔な環境のもと細部まで丁寧に処置を行っています。
患者様には根管治療後の修復方法として以下を提案し、同意をいただいた上で治療を開始しました。
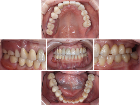
・左下の奥歯3本は、歯の形に合わせて作製でき自然な白さがある被せ物「ジルコニアクラウン」で修復
・左上の奥歯の欠損は、前後の歯を土台にしてつなげた被せ物「ジルコニアブリッジ」で修復
・右上下の奥歯の欠損は、現在使用している義歯よりしっかり噛めてずれにくいメリットがあり、残っている歯に金属の被せ物を入れてその上から入れ歯を装着する「コーヌス義歯」を使用
左下の奥歯3本(第2小臼歯、第1大臼歯、第2大臼歯)は、被せ物を取り除いてから再度根管治療を行い、ジルコニアクラウンを作製し装着しています。
左上の前歯(犬歯)と左上の奥歯(第1大臼歯)は被せ物を外し根管治療を行ったあと、欠損している奥歯2本(第1小臼歯、第2小臼歯)を補うジルコニアブリッジの土台として形を整え、4本つなげて装着しました。
右上の第1小臼歯と右上の犬歯は劣化した被せ物を取り除き、第1小臼歯の根管治療をしてから、それぞれ右上用のコーヌス義歯の土台歯として形を整えています。
同様に、右下の第1小臼歯と第2小臼歯も右下用のコーヌス義歯の土台歯として形を調整し、右上下それぞれの土台歯に金属の被せ物を入れて、その上から入れ歯を装着しました。
コーヌス義歯を装着後、再度歯科専門医がお口全体を確認したところ、右上の前歯2本(中切歯、側切歯)も再根管治療が必要であることがわかり、患者様に事情を説明し同意をいただいた上で、被せ物の除去と再根管治療を行ったあとジルコニアクランで修復し、治療を終了しました。
・まれに根管治療後も再治療、外科手術、抜歯などの処置が必要となる場合があります
・治療中まれに器具の破折、被せ物や詰め物など修復物の損傷、歯の破折が起こる場合があります
・着脱式のため、食後の清掃が必要です
・最初のうちは異物感があり、慣れるまで時間がかかる場合があります
・噛み合わせや歯ぎしりが強い場合、セラミックが割れる可能性があります
・一部の治療を除き、自費診療(保険適用外治療)です
年齢‧性別
60代女性
診療種別
自由診療
治療期間‧回数の⽬安
約3年
治療費総額の⽬安
※記載の料金は治療当時のものです。
最新の治療費はお問い合わせください。
5,967,880円
| 出勤日 | 火 | 水 | 木 | 金 | 土 |
|---|---|---|---|---|---|
| 前田 | ● | ● | ● | ● | ● |
| 藤川 | / | / | / | ● | ● |
| 石川 | ● | ● | ● | ● | / |
| 根治専門医 今井 |
● | / | / | / | / |
| 根治専門医 新本 |
/ | / | ● | / | / |
| 根治専門医 三枝 |
/ | / | / | / | ● |
| 根治専門医 天野 |
/ | ● | / | ● | / |
| 矯正専門医 手嶋(月1回) |
/ | / | / | ● | / |
| インプラント専門医 簗瀬(月1回) |
/ | / | / | / | ● |
| 歯科衛生士 | ● | ● | ● | ● | ● |
| 診療時間 | 月 | 火 | 水 | 木 | 金 | 土 | 日 | 祝 |
|---|---|---|---|---|---|---|---|---|
| 9:30 - 12:30 | / | 〇 | 〇 | 〇 | 〇 | 〇 | / | / |
| 14:00 - 17:00 | / | 〇 | 〇 | 〇 | 〇 | 〇 | / | / |
【休診日】月曜日・日曜日・祝日
※お電話は診療時間内にお願いいたします。
ドクター出勤日
| 出勤日 | 火 | 水 | 木 | 金 | 土 |
|---|---|---|---|---|---|
| 前田 | ● | ● | ● | ● | ● |
| 藤川 | / | / | / | ● | ● |
| 石川 | ● | ● | ● | ● | / |
| 根治専門医 今井 |
● | / | / | / | / |
| 根治専門医 新本 |
/ | / | ● | / | / |
| 根治専門医 三枝 |
/ | / | / | / | ● |
| 根治専門医 天野 |
/ | ● | / | ● | / |
| 矯正専門医 手嶋(月1回) |
/ | / | / | ● | / |
| インプラント専門医 簗瀬(月1回) |
/ | / | / | / | ● |
| 歯科衛生士 | ● | ● | ● | ● | ● |
閉じる