60代男性「前歯にひびが入っている」あごの動きを確…|失った歯を回復する治療|むし歯や歯周病の予防に特化した町田の歯医者「ウェルネスデンタルクリニック(旧:前田歯科医院)」の失った歯を回復する治療

〒194-0013 東京都町田市原町田6-26-11 岡本ビル2F

新規の患者様もLINEからお問い合わせください。

お友達登録

  • JR横浜線 町田駅から徒歩4分
  • 小田急線 町田駅から徒歩4分

診療時間

診療時間
9:30 - 12:30
14:00 - 17:00

【休診日】月曜日・日曜日・祝日

CASE

60代男性「前歯にひびが入っている」あごの動きを確…

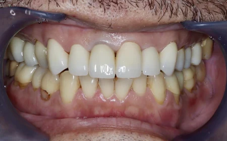
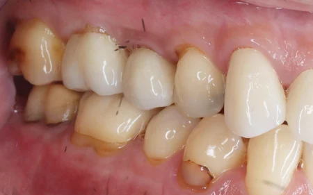
60代男性「前歯にひびが入っている」あごの動きを確認する「咬合診断」を行い、摩擦に強く耐久性がある「ジルコニアクラウン」で歯を保護する噛み合わせに改善した症例

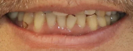
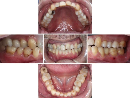
治療前

60代男性「前歯にひびが入っている」あごの動きを確認する「咬合診断」を行い、摩擦に強く耐久性がある「ジルコニアクラウン」で歯を保護する噛み合わせに改善した症例

60代男性「前歯にひびが入っている」あごの動きを確認する「咬合診断」を行い、摩擦に強く耐久性がある「ジルコニアクラウン」で歯を保護する噛み合わせに改善した症例

60代男性「前歯にひびが入っている」あごの動きを確認する「咬合診断」を行い、摩擦に強く耐久性がある「ジルコニアクラウン」で歯を保護する噛み合わせに改善した症例

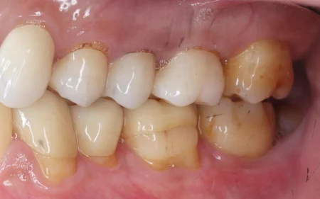
治療中

60代男性「前歯にひびが入っている」あごの動きを確認する「咬合診断」を行い、摩擦に強く耐久性がある「ジルコニアクラウン」で歯を保護する噛み合わせに改善した症例

60代男性「前歯にひびが入っている」あごの動きを確認する「咬合診断」を行い、摩擦に強く耐久性がある「ジルコニアクラウン」で歯を保護する噛み合わせに改善した症例

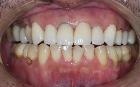
治療後

60代男性「前歯にひびが入っている」あごの動きを確認する「咬合診断」を行い、摩擦に強く耐久性がある「ジルコニアクラウン」で歯を保護する噛み合わせに改善した症例

60代男性「前歯にひびが入っている」あごの動きを確認する「咬合診断」を行い、摩擦に強く耐久性がある「ジルコニアクラウン」で歯を保護する噛み合わせに改善した症例

ご相談内容

2018年より通院されている患者様から「前歯にひびが入っている」とご相談いただきました。

カウンセリング‧診断結果

拝見したところ、左上前歯(側切歯/2番)の被せ物には、噛み合わせや歯ぎしりなどが原因で起こるひび割れ「クラック」が見られました。
奥歯で噛み合わせた時、上の前歯が下の前歯と噛み合っていない部分や、歯の先端同士で噛み合う「切端咬合」が認められました。

患者様の歯型模型で噛み合わせやあごの動きを確認する「咬合診断」を行った結果、左下の奥歯(第2大臼歯/7番)が下あごを横へ動かす際に誘導する「ガイド」の役割をしていました。

治療後の前歯のひび割れを防ぐためにも、前歯や奥歯の噛み合わせを変える必要があると診断しました。

⾏ったご提案‧治療内容

上下左右前歯(犬歯/3番)でガイドを行う正常な噛み合わせにするために、上左右犬歯は摩擦に強く耐久性がある「ジルコニアクラウン」を装着して噛み合わせを変える治療をご提案しました。
併せて、上前歯4本(中切歯/1番、側切歯)もクラックや噛み合わせの改善のため、同じジルコニアクラウンでの治療をご提案しました。
犬歯でのガイドにすることによって、クラックが入らないように歯を保護できることをご説明し、治療への同意をいただきました。

まず、ジルコニアクラウンを装着する予定の歯を削る「支台形成」を行い、仮歯「テンポラリークラウン(TEC)」を装着しました。 
支台形成後は歯型模型を作製し、噛み合わせ・形態・色調を確認するための仮歯「プロビジョナルレストレーション」を装着しました。
何度か調整を重ね、完成したプロビジョナルレストレーションをデジタルスキャンで反映して、ジルコニアクラウンを製作しました。
その後、削った歯の面に細かなパウダーを噴き付けて汚れを落とす「エアーフロー」で清掃し、歯科用セメントにてジルコニアクラウンを装着しました。

この治療のリスクについて

・装着に際し、天然歯を削る必要があります
・硬い素材の場合、他の天然歯を傷つけることがあります
・噛み合わせや歯ぎしりが強い場合、セラミックが割れる可能性があります
・一部の治療を除き、自費診療(保険適用外治療)です

年齢‧性別

60代男性

診療種別

自由診療

治療期間‧回数の⽬安

4ヶ月

治療費総額の⽬安
※記載の料金は治療当時のものです。
最新の治療費はお問い合わせください。

1,292,700円

その他

60代男性「前歯にひびが入っている」あごの動きを確認する「咬合診断」を行い、摩擦に強く耐久性がある「ジルコニアクラウン」で歯を保護する噛み合わせに改善した症例

60代男性「前歯にひびが入っている」あごの動きを確認する「咬合診断」を行い、摩擦に強く耐久性がある「ジルコニアクラウン」で歯を保護する噛み合わせに改善した症例

60代男性「前歯にひびが入っている」あごの動きを確認する「咬合診断」を行い、摩擦に強く耐久性がある「ジルコニアクラウン」で歯を保護する噛み合わせに改善した症例

to top

LINEから24時間WEB予約できます 無料カウンセリングを予約する