CASE
CASE
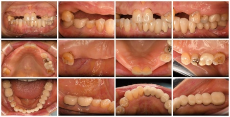
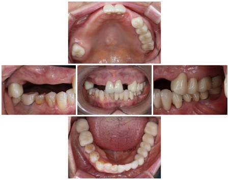
「2007年に作ってもらった上顎の部分入れ歯が欠けたので、修理してほしい」とご相談いただきました。
患者様は2007年より来院されています。
拝見したところ、上顎の歯がない箇所に部分入れ歯が装着されているものの、右上の前歯部分の人工歯が欠けていました。
また、残っている上の歯7本は、下の歯と強く当たり著しく削れる「咬耗(こうもう)」が見られます。
この咬耗により、噛み合わせたときの上下の顎の垂直方向の距離の指標「咬合高径」が低くなり、下の歯が入れ歯と強く噛み合うことによって、部分入れ歯が破損したと考えられます。
さらに、部分入れ歯の金属のフレーム部分も破損しており、修理が困難な状態でした。仮にフレームを修理できたとしても、このままの咬合高径では部分入れ歯が再び破損するリスクも高まります。
そのため、入れ歯が破損しないように咬合高径を高く調整したあと、入れ歯を作り直す必要があると診断しました。
当院では全体的な治療が必要な場合、患者様一人ひとりに適した方法をお伝えしています。
例えば、顎の骨にネジを埋め込んで噛めるようにする「インプラント治療」や、残っている歯に金属の被せ物を入れてその上から入れ歯を装着する「コーヌス義歯」など幅広い治療があります。
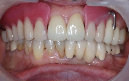
今回は、上の歯7本すべてに審美性に優れ強度もある人工ダイヤモンドを用いた被せ物「フルジルコニアクラウン」を装着することで咬合高径を高くし、その高さに応じた入れ歯を新しく作製する治療計画を提案し、同意いただきました。
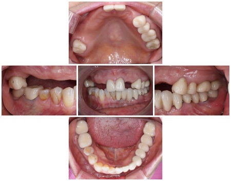
まず、残っている上の歯7本を土台の形に削り整えたあと、高さをつけた仮歯を装着しました。
さらに仮歯の高さに合わせた仮の入れ歯も装着し、顎の関節に負担をかけない適切な咬合高径になるよう調節しています。
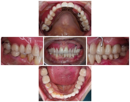
最適な咬合高径を決定したあと、上の歯の型取りを行い、完成したフルジルコニアクラウンを装着しました。
その後、従来のタイプよりも薄く自然な装着感と高い耐久性を持つ金属「コバルトクロム」を用いて作製した入れ歯を歯のない部分に装着し、治療を終了しました。
・装着に際し、天然歯を削る場合があります
・硬い素材の場合、他の天然歯を傷つけることがあります
・着脱式のため、食後の清掃が必要です
・最初のうちは異物感があり、慣れるまで時間がかかる場合があります
・慣れるまでは、入れ歯の裏側の粘膜に傷ができる場合があります
年齢‧性別
80代女性
診療種別
自由診療
治療期間‧回数の⽬安
約1年
治療費総額の⽬安
2,330,000円
| 出勤日 | 火 | 水 | 木 | 金 | 土 |
|---|---|---|---|---|---|
| 前田 | ● | ● | ● | ● | ● |
| 藤川 | / | / | / | ● | ● |
| 石川 | ● | ● | ● | ● | / |
| 根治専門医 今井 |
● | / | / | / | / |
| 根治専門医 新本 |
/ | / | ● | / | / |
| 根治専門医 三枝 |
/ | / | / | / | ● |
| 根治専門医 天野 |
/ | ● | / | ● | / |
| 矯正専門医 手嶋(月1回) |
/ | / | / | ● | / |
| インプラント専門医 簗瀬(月1回) |
/ | / | / | / | ● |
| 歯科衛生士 | ● | ● | ● | ● | ● |
| 診療時間 | 月 | 火 | 水 | 木 | 金 | 土 | 日 | 祝 |
|---|---|---|---|---|---|---|---|---|
| 9:30 - 12:30 | / | 〇 | 〇 | 〇 | 〇 | 〇 | / | / |
| 14:00 - 17:00 | / | 〇 | 〇 | 〇 | 〇 | 〇 | / | / |
【休診日】月曜日・日曜日・祝日
※お電話は診療時間内にお願いいたします。
ドクター出勤日
| 出勤日 | 火 | 水 | 木 | 金 | 土 |
|---|---|---|---|---|---|
| 前田 | ● | ● | ● | ● | ● |
| 藤川 | / | / | / | ● | ● |
| 石川 | ● | ● | ● | ● | / |
| 根治専門医 今井 |
● | / | / | / | / |
| 根治専門医 新本 |
/ | / | ● | / | / |
| 根治専門医 三枝 |
/ | / | / | / | ● |
| 根治専門医 天野 |
/ | ● | / | ● | / |
| 矯正専門医 手嶋(月1回) |
/ | / | / | ● | / |
| インプラント専門医 簗瀬(月1回) |
/ | / | / | / | ● |
| 歯科衛生士 | ● | ● | ● | ● | ● |
閉じる