50代女性「熱い物がしみる時がある」歯のすり減りと…|根管治療|むし歯や歯周病の予防に特化した町田の歯医者「ウェルネスデンタルクリニック(旧:前田歯科医院)」の根管治療

〒194-0013 東京都町田市原町田6-26-11 岡本ビル2F

新規の患者様もLINEからお問い合わせください。

お友達登録

  • JR横浜線 町田駅から徒歩4分
  • 小田急線 町田駅から徒歩4分

診療時間

診療時間
9:30 - 12:30
14:00 - 17:00

【休診日】月曜日・日曜日・祝日

CASE

50代女性「熱い物がしみる時がある」歯のすり減りと…

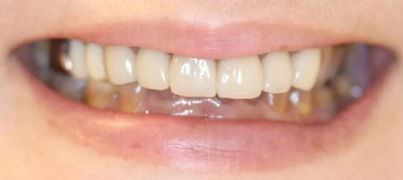
50代女性「熱い物がしみる時がある」歯のすり減りと抗生物質による変色「テトラサイクリン歯」を、白くて変色しにくい「ジルコニアクラウン」を入れて見た目と噛み合わせが改善し、しみなくなった症例

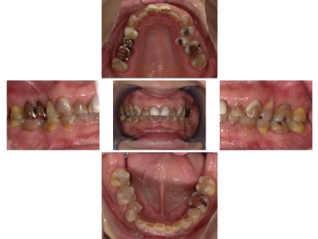
治療前

50代女性「熱い物がしみる時がある」歯のすり減りと抗生物質による変色「テトラサイクリン歯」を、白くて変色しにくい「ジルコニアクラウン」を入れて見た目と噛み合わせが改善し、しみなくなった症例

50代女性「熱い物がしみる時がある」歯のすり減りと抗生物質による変色「テトラサイクリン歯」を、白くて変色しにくい「ジルコニアクラウン」を入れて見た目と噛み合わせが改善し、しみなくなった症例

50代女性「熱い物がしみる時がある」歯のすり減りと抗生物質による変色「テトラサイクリン歯」を、白くて変色しにくい「ジルコニアクラウン」を入れて見た目と噛み合わせが改善し、しみなくなった症例

50代女性「熱い物がしみる時がある」歯のすり減りと抗生物質による変色「テトラサイクリン歯」を、白くて変色しにくい「ジルコニアクラウン」を入れて見た目と噛み合わせが改善し、しみなくなった症例

50代女性「熱い物がしみる時がある」歯のすり減りと抗生物質による変色「テトラサイクリン歯」を、白くて変色しにくい「ジルコニアクラウン」を入れて見た目と噛み合わせが改善し、しみなくなった症例

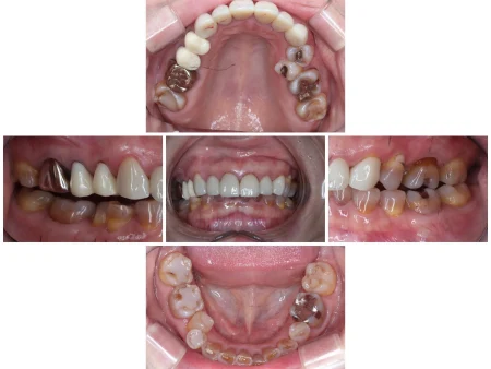
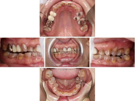
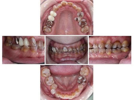
治療中

50代女性「熱い物がしみる時がある」歯のすり減りと抗生物質による変色「テトラサイクリン歯」を、白くて変色しにくい「ジルコニアクラウン」を入れて見た目と噛み合わせが改善し、しみなくなった症例

50代女性「熱い物がしみる時がある」歯のすり減りと抗生物質による変色「テトラサイクリン歯」を、白くて変色しにくい「ジルコニアクラウン」を入れて見た目と噛み合わせが改善し、しみなくなった症例

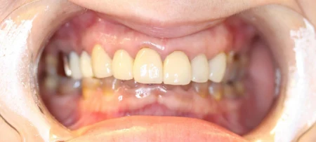
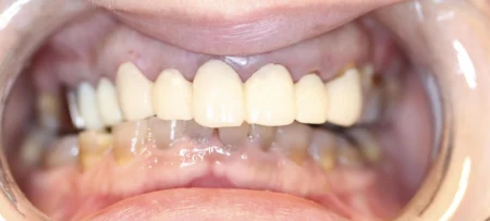
治療後

50代女性「熱い物がしみる時がある」歯のすり減りと抗生物質による変色「テトラサイクリン歯」を、白くて変色しにくい「ジルコニアクラウン」を入れて見た目と噛み合わせが改善し、しみなくなった症例

50代女性「熱い物がしみる時がある」歯のすり減りと抗生物質による変色「テトラサイクリン歯」を、白くて変色しにくい「ジルコニアクラウン」を入れて見た目と噛み合わせが改善し、しみなくなった症例

50代女性「熱い物がしみる時がある」歯のすり減りと抗生物質による変色「テトラサイクリン歯」を、白くて変色しにくい「ジルコニアクラウン」を入れて見た目と噛み合わせが改善し、しみなくなった症例

ご相談内容

「熱い物がしみる時がある」とご相談いただきました。

患者様は2004年よりご通院されていました。

カウンセリング‧診断結果

拝見すると、全体的に抗生物質により変色した「テトラサイクリン歯」でした。

上の左右の前歯6本(中切歯/1番、側切歯/2番、犬歯/3番)は、表面の白い詰め物が剥がれていました。

また、歯ぎしり・食いしばりの癖がある「ブラキサー」であったため、下の歯全体は噛む面がすり減っている「咬耗(こうもう)」が激しかったです。
そのため、噛み合った時の上下の顎の距離感「咬合高径」が狭まり、歯の表面が割れていたり欠けたりしていました。

患者様にお話を伺うと「長年、前歯の見た目にコンプレックスを持っている。冷たい物は飲まず常温の物を飲んでいる」とのことでした。

⾏ったご提案‧治療内容

下の歯の中でも、とくに左右の前歯6本の咬耗が激しいため、先に上の前歯6本に被せ物をして見た目と噛み合わせを改善するご提案をし、ご了承いただきました。
被せ物は白くて変色しにくい硬い材料「ジルコニア」をご選択されました。

まず始めに、上の前歯の治療後の雰囲気を確認できるシェル状の仮歯「モックアップ」を製作しました。
完成後、歯に装着し写真撮影を行い、最終的な被せ物の形や見た目の確認をしていただきました。
また、患者様の模型で顎の動きや噛み合わせを再現する「咬合器」を使い、噛み合わせを高くする「咬合挙上」の必要性もご説明しました。

治療は1本ずつ順番に被せ物が入るよう土台の形を整える「支台形成」をして、1つ目の仮歯に置き換えました。

次に土台を微調整し、写真撮影と治療計画を立てるための模型「スタディーモデル」の型取りを行い、患者様のご希望を考慮した形態で2つ目の仮歯を製作しました。

完成した仮歯をお口の中で調整し、顔立ちの写真と周囲の歯と比べ適した色味を選択する「シェードテイク」、再度スタディーモデルの型取りを行いました。

その後、技工所にて歯の形態をデジタルスキャンし、「ジルコニアクラウン」を製作しました。
完成後、お口の中で試適と調整をし、歯の表面の細菌や汚れを除去する「エアーフロー」で清潔にしてから、接着セメント「ジーセムone」で装着しました。

被せ物が入った後は、歯がすり減るのを予防する「ナイトガード」の装着をご提案し、ご了承いただきました。

この治療のリスクについて

・装着に際し、天然歯を削る必要があります
・硬い素材の場合、他の天然歯を傷つけることがあります
・噛み合わせや歯ぎしりが強い場合、被せ物が割れる可能性があります
・一部の治療を除き、自費診療(保険適用外治療)です

年齢‧性別

50代女性

診療種別

自由診療

治療期間‧回数の⽬安

4ヶ月

治療費総額の⽬安
※記載の料金は治療当時のものです。
最新の治療費はお問い合わせください。

1,056,000円

to top

LINEから24時間WEB予約できます 無料カウンセリングを予約する