CASE
CASE
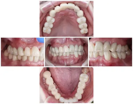
「他院で奥歯を3本抜き、その後は入れ歯を作ることを提案された。入れ歯以外の治療方法を聞きたかったが、今通院しているところでは相談しにくくて悩んでいたところ、インターネット検索でこちらを見つけたのでセカンドオピニオンとして受診した」とご相談いただきました。
拝見したところ、他院で抜歯された部分(右上奥歯1本、左上奥歯2本)を含めて上左右の奥歯4本(第1大臼歯/6番、第2大臼歯/7番)が欠損していました。
奥歯の欠損が原因で噛み合わせの位置が低くなっており、しっかりと噛むことができなくなっています。
入れ歯以外の方法で治療を行う場合は、噛み合わせのバランスを整えなければならないため、部分的な治療では難しく、下の歯も含めた全体的な治療が必要であると診断しました。
全体的な噛み合わせのバランスを整える治療方法として、歯が欠損している部分の顎の骨に人工歯根を埋める「インプラント」と、歯をきれいに並べるための矯正治療を提案しましたが、患者様はどちらも希望されませんでした。
そこで、上顎には抜歯した部分を埋めるために隣の歯を一層のみ削り、その歯を支台として人工歯をつなげる「ブリッジ」を使用する治療、下顎には新しく被せ物を作製する方法を提案したところ、了承いただきました。
上顎は欠損している上左右の奥歯(第1大臼歯)の奥側で隣り合う歯(第2大臼歯)も同じく欠損しているため、手前側で隣り合う歯(第2小臼歯/5番)のみを支台にする「延長ブリッジ」を選択しています。
まずは噛み合わせの高さを上げるために、ロウ素材でできた歯の模型「ワックスアップ」を使用しながら、全体的な噛み合わせや歯の形を測定し、噛み合わせを高くしても問題がないかを確認します。
次に最終的な被せ物を入れる治療として、上左右の歯10本(中切歯/1番、側切歯/2番、犬歯/3番、第1小臼歯/4番、第2小臼歯)と下左右の歯14本(中切歯、側切歯、犬歯、第1小臼歯、第2小臼歯、第1大臼歯、第2大臼歯)の表面にあるエナメル質を一層削ってから、ワックスアップで測定した噛み合わせをもとに作製した仮歯「プロビジョナルテンポラリークラウン」を装着しました。
その後、上顎には上左右の歯2本(第2小臼歯)を支台にして、第1大臼歯用の人工歯「ポンティック」をつなげた歯12本分の延長ブリッジを装着しました。また、下左右の歯14本は新しい被せ物を作製し直しています。
上顎の延長ブリッジと下顎の被せ物の素材には、天然歯のような白さで強度もある「セラミック」の中でも、特に強度や審美性に優れている「ジルコニア」を使用しました。
その後、使用感や噛み合わせに問題がないことを確認し、治療を終了しました。
・ブリッジの装着に際し、天然歯を削る必要があります
・土台となる歯に負担がかかるため、将来的に歯が揺れたり、歯の根が割れたりする可能性があります
・硬い素材の場合、他の天然歯を傷つけることがあります
・噛み合わせや歯ぎしりが強い場合、セラミックが割れる可能性があります
・一部の治療を除き、自費診療(保険適用外治療)です
年齢‧性別
50代女性
診療種別
自由診療
治療期間‧回数の⽬安
5年
治療費総額の⽬安
※記載の料金は治療当時のものです。
最新の治療費はお問い合わせください。
4,081,488円
| 出勤日 | 火 | 水 | 木 | 金 | 土 |
|---|---|---|---|---|---|
| 前田 | ● | ● | ● | ● | ● |
| 藤川 | / | / | / | ● | ● |
| 石川 | ● | ● | ● | ● | / |
| 根治専門医 今井 |
● | / | / | / | / |
| 根治専門医 新本 |
/ | / | ● | / | / |
| 根治専門医 三枝 |
/ | / | / | / | ● |
| 根治専門医 天野 |
/ | ● | / | ● | / |
| 矯正専門医 手嶋(月1回) |
/ | / | / | ● | / |
| インプラント専門医 簗瀬(月1回) |
/ | / | / | / | ● |
| 歯科衛生士 | ● | ● | ● | ● | ● |
| 診療時間 | 月 | 火 | 水 | 木 | 金 | 土 | 日 | 祝 |
|---|---|---|---|---|---|---|---|---|
| 9:30 - 12:30 | / | 〇 | 〇 | 〇 | 〇 | 〇 | / | / |
| 14:00 - 17:00 | / | 〇 | 〇 | 〇 | 〇 | 〇 | / | / |
【休診日】月曜日・日曜日・祝日
※お電話は診療時間内にお願いいたします。
ドクター出勤日
| 出勤日 | 火 | 水 | 木 | 金 | 土 |
|---|---|---|---|---|---|
| 前田 | ● | ● | ● | ● | ● |
| 藤川 | / | / | / | ● | ● |
| 石川 | ● | ● | ● | ● | / |
| 根治専門医 今井 |
● | / | / | / | / |
| 根治専門医 新本 |
/ | / | ● | / | / |
| 根治専門医 三枝 |
/ | / | / | / | ● |
| 根治専門医 天野 |
/ | ● | / | ● | / |
| 矯正専門医 手嶋(月1回) |
/ | / | / | ● | / |
| インプラント専門医 簗瀬(月1回) |
/ | / | / | / | ● |
| 歯科衛生士 | ● | ● | ● | ● | ● |
閉じる