白く、美しくホワイトニング|町田駅徒歩4分の歯医者|ウェルネスデンタルクリニック(旧:前田歯科医院)|痛くないおすすめしたくなる歯医者

診療時間
出勤日

〒194-0013 東京都町田市原町田6-26-11 岡本ビル2F

新規の患者様もLINEからお問い合わせください。

お友達登録

  • JR横浜線 町田駅から徒歩4分
  • 小田急線 町田駅から徒歩4分

診療時間

診療時間
9:30 - 12:30
14:00 - 17:00

【休診日】月曜日・日曜日・祝日

気にせず「笑顔」になれる治療 白く美しくなるホワイトニング

  • TOP
  • ホワイトニング

口元の印象は、今から変えられます。歯の色が気になって笑顔を控えるのは、もう終わりにしましょう。ホワイトニングは歯を削らず、歯の内側の黄ばみにアプローチして白さを目指す治療です。
ただし大人のホワイトニングは、勢いで選ぶと満足度が下がります。知覚過敏の出やすさ、歯ぐきの状態、詰め物・被せ物の有無で、適した方法もゴールも変わるからです。ホームとの違いを整理し、希望の白さ・期限・ライフスタイルまで含めて“最短距離の計画”を設計します。まずは初診で状態を確認し、見通しを明確にしてから進めましょう。

ホワイトニング|気にせず「笑顔」になれる治療|町田のウェルネスデンタルクリニック

口元の印象は、
今から変えられます。
大人のための
ホワイトニング相談。

ホワイトニングは、歯を削らず歯の黄ばみを漂白し、白さを目指す治療です。 当院は オフィス/ホーム の違いを整理し、希望の白さ・期限・生活習慣・リスクまで含めて「最短距離の計画」を設計します。
初診では、知覚過敏や歯ぐき、詰め物・被せ物の有無を確認し、適した方法と注意点をすり合わせてから進めます。 効果には個人差があり、詰め物・被せ物の色は変わりません。必要に応じて“色合わせ”まで見通しを立てます。

ホワイトニングで白く美しい歯になりましょう。

このようなご不安はありませんか?

当院ではしっかりと検査、カウンセリングを行い、あなたにあったホワイトニング方法をご提案します。

  • 写真や会食の場で、口元に自信を持ちたい
  • 「しみるのが怖い」「痛みが心配」でも、無理なく白くしたい
  • 詰め物・被せ物があり、どこまで自然に整うか先に知りたい
  • 遠回りは避けたい。方法の違いと見通しを最初に整理したい

初診は
「検査・カウンセリング」
が中心です(応急処置あり)

ホワイトニングは“いきなり薬剤をのせる”より先に、口の中の状態確認が大切です。知覚過敏の傾向や歯ぐきの状態、詰め物・被せ物の有無などで、進め方やゴール設定が変わります。

初診で行うこと

口腔内のチェックとカウンセリングを行い、術前の口腔内写真を撮影し、色調見本を用いて術前の歯の色調を確認します。

必要に応じて応急処置を行います

痛みやしみが強いなど、日常生活に支障がある場合は、まず落ち着かせることを優先することがあります。そのうえでホワイトニングの適否や方法を整理します。

“白くする”だけでなく、品よく維持する設計へ

ホワイトニング後は、歯の表面状態や生活習慣で後戻りの出方が変わります。白さを「作る」だけでなく「保つ」ためのケア(クリーニング等)まで、無理なく続く計画を提案します。

ホワイトニングとは?

ホワイトニングとは、黄ばんだ歯を漂白し、白くて美しい歯に仕上げる治療法のことです。
日本人はエナメル質が薄く象牙質の黄ばみが透けやすい傾向があり、年齢とともに黄ばみが強くなることがあります。象牙質の黄ばみは外側からのアプローチだけでは解消できないため、歯の内部を漂白するホワイトニング治療が必要です。

オフィスホワイトニングと
ホームホワイトニングの違い
(選び方)

ホワイトニングは、歯科医院で施術を受ける「オフィスホワイトニング」と、ご自宅で取り組む「ホームホワイトニング」があります。

お悩みの場合は「期限」と「しみやすさ」で決める

  • 期限がある(写真・会食・式など) → オフィスが有利になりやすい
  • しみやすい/自分のペースで進めたい → ホームが合うことが多い
  • 被せ物・詰め物が多い → 先に“どこが白くなるか”を確認し、色合わせまで計画するのが安全

比較表

オフィスホワイトニング ホームホワイトニング
早さ 短期間で白くしやすい
当日に変化を期待しやすい
実感まで通常約2週間
手軽さ 自分で管理不要 マウスピース・薬剤の自己管理が必要
持続 比較的後戻りがしやすい 白さの持続が期待できる
範囲 奥歯は白くできない(前歯12本のみ) 設計次第で調整可能

オフィスホワイトニング

オフィスホワイトニングは、歯科医院で専門家が行います。歯の表面にホワイトニング剤を塗り、特殊な光を照射して歯の内部まで薬剤を浸透・活性化させます。

オフィスホワイトニングの流れ

①カウンセリング

①カウンセリング

  • お口の中をチェックし、カウンセリングを行います。
  • 術前の口腔内写真を撮影します。
  • 色調見本を用いて、術前の歯の色調を確認させて頂きます。
②歯面清掃

②歯面清掃

歯周検査、ブラッシング指導、エアフローを通常の検診の流れで行います。

③開口器の装着・歯肉の保護

③開口器の装着・歯肉の保護

開口器を装着し、お顔を保護するフェイシャルシートを付けます。
また、唇には保護クリームを塗り、歯茎には保護剤を塗布します。

④ホワイトニング

④ホワイトニング

  • 歯にホワイトニング効果を上げる活性剤を塗布します。
  • ホワイトニング剤を塗布し、12分間光を当てます。

薬剤を取り除いた後、上の二つの行程を3回繰り返します。

⑤フッ素塗布

⑤フッ素塗布

術後の口腔内写真を撮影します。
終了後、フッ素で歯をコーティングします。

ホームホワイトニング
(自宅で進める)

患者さまのお口に合わせて作ったマウスピースに薬剤を入れ、歯に装着して浸透させます。白さを実感できるようになるのは通常2週間ほどかかりますが、後戻りが少なく白さの持続が期待できます。

ホームホワイトニングの流れ

①カウンセリング

①カウンセリング

  • お口の中をチェックし、カウンセリングを行います。
  • 術前の口腔内写真を撮影します。
  • 色調見本を用いて、術前の歯の色調を確認させて頂きます。
②マウスピースの作成

②マウスピースの作成

歯の型を採り、マウスピースを作成します。

③歯面清掃

③歯面清掃

歯周検査、染め出し、ブラッシング指導、エアフローを通常の検診の流れで行います。
(歯面清掃を行っている間に、マウスピースを院内で作成します。)

④マウスピースの試適、使用法の説明

④マウスピースの試適、使用法の説明

作成したマウスピースを装着してもらいます。
ホワイトニングジェル濃度の選択、使用上の注意点についてご説明いたします。

⑤ホームホワイトニングの実施

⑤ホームホワイトニング

ホワイトニングジェルの濃度によっては、使用時間が異なる場合がございます。
説明をよく聞いた上で、1~2週間程度行ってください。

⑥経過観察、メンテナンス

⑤経過観察、メンテナンス

約2週間後にご来院いただき、術後の口腔内写真を撮影します。
術前と術後の歯の色調を比較していただきます。
その上で、ご相談・ご希望を伺いながら、濃度を上げたり期間を延ばしたりしていきます。

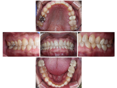
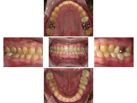
症例(ホワイトニング)

50代女性 40代男性「着色した歯を白く綺麗にしたい」全体的な歯の黄ばみや色ムラを、歯科医院で薬剤を使用して歯を白くする「オフィスホワイトニング」で改善させ、明るい口元にした症例

治療前

治療前

治療後

治療後
診療種別 自由診療
治療期間・回数の目安 2ヶ月
治療費総額の目安 ※記載の料金は治療当時のものです。
最新の治療費はお問い合わせください。
オフィスホワイトニング3回 アイコン(Icon®) 59,400円
主なリスク 治療中、歯にしみるような痛みが出る場合があります。/得られる効果は歯の質により様々です。予定通りの白さに達しない場合もあります。/自費診療(保険適用外治療)です。

ホワイトニングの注意点
(必ず先に知っておくこと)

ホワイトニングの注意点

  • 効果には個人差があり、色調の改善が見込めないこともあります。
  • 白さの持続は変色や生活習慣で変わります。月に一度のクリーニング(エアフロー)やタッチアップで白さを保てます。
  • 知覚過敏、歯肉の灼熱感、粘膜の潰瘍、歯の痛み等がまれに起こることがあります(多くは一時的で通常数日で治癒)。
  • 知覚過敏の傾向がある場合、症状が悪化することがあります。
  • 妊娠の可能性が高い方/妊娠中・授乳中/18歳未満/無カタラーゼ症の方には適しません。
  • 歯の表面に白い点状(白斑)が目立つことがあります。数週間〜数ヶ月で馴染むこともありますが、気になる場合は処置が必要です。
  • 詰め物・被せ物の色は変化しません(必要に応じて色合わせの計画が必要です)。

オフィスホワイトニング後の注意
(24時間の過ごし方)

普段、歯の表面はペリクルという皮膜に覆われている状態です。しかしホワイトニングをすることでペリクルが除去され、歯は乾いたスポンジのような脱水症状になってしまいます。

そのためホワイトニングの後、冷たいものがしみたり、痛みを感じることがあります。通常ペリクルは12時間から24時間かけて再生されますが、それまでは歯が水分をとても吸収しやすい状態です。色の濃い食べ物や飲み物をとると、そのまま色が歯に付いてしまいます。よって下記のもの等は控えてください。

※オフィスホワイトニング後24時間は禁煙してください。

オフィスホワイトニング後
24時間は避けたほうがよいもの
オフィスホワイトニング後
24時間以内に口にしてよいもの
  • コーヒー、紅茶、緑茶、コーラ、赤ワイン、ジュース類
  • チョコレート、焼肉、カレー、ミートパスタ、焼きそば、醤油、ソース、味噌、わさび、からし
  • 色の濃い野菜(トマト、南瓜、ほうれん草等)、色の濃い果物(オレンジ、苺、ぶどう等)
  • 濃い色の口紅、リップ
  • 上記の他、濃い色の付いたもの
  • 水、牛乳、ヨーグルト、チーズ、白ワイン、色の薄いビール
  • 米、パン、鶏肉、白身魚(醤油なし)、大根、里芋、えび、しらす、貝柱、フライドポテト(塩味)、豚骨・塩ラーメン、カルボナーラ
  • ホワイトソース、お吸い物、味噌汁(白味噌)
    上記の他、色の付いてないもの

LINE予約(ご予約・ご相談)

ホワイトニングは「どの方法が合うか」を最初に整理すると、遠回りしません。初診は検査・診断・カウンセリング中心で、希望の白さ・期間・生活習慣・リスクをすり合わせます。

CONTACT

「新型コロナウイルスが心配で歯医者に行けないかた」も「歯医者が苦手で行けないかた」も、安心してご来院頂ける体制を整えております。ご予約はお電話もしくはLINEからお願い致します。

  • LINEからお問い合わせください

    ※ご予約・ご相談はLINEにてお願い致します。
    登録後電話も可能です。
    ※LINE登録については、ご予約・ご相談以外での
    情報利用は一切ございません。
    いつでもブロック・配信停止ができますので
    ご安心ください。

よくある質問(FAQ)

  • オフィスとホーム、どちらが自分に合いますか?

    期限(いつまでに白くしたいか)と、知覚過敏の出やすさ、生活習慣、どの歯まで白くしたいかで適性が変わります。まず口腔内の状態を確認し、最短距離の計画を立てます。

  • ホームホワイトニングは、どれくらいで変化を感じますか?

    通常、白さを実感できるようになるのは約2週間ほどかかることがあります。

  • 詰め物や被せ物も白くなりますか?

    いいえ。ホワイトニングで変化するのは天然歯で、充填物(詰め物)や補綴物(被せ物)の色調は変化しません。

  • しみたり痛んだりしますか?

    知覚過敏、歯肉の灼熱感、粘膜の潰瘍、歯の痛み等がまれに起こることがありますが、多くは一時的で通常数日で治癒します。

  • 誰でもホワイトニングできますか?

    妊娠の可能性が高い方/妊娠中・授乳中/18歳未満/無カタラーゼ症の方には適しません。時期をずらして行うことをおすすめします。

お支払い方法

当院では下記のお支払い方法をご利用いただけます。詳しくは受付スタッフにお尋ねください。

お支払い方法

ウェルネスデンタルクリニック(旧:前田歯科医院)では下記のお支払い方法をご利用いただけます。詳しくは当院の受付スタッフにお尋ねください。

現金
現金
現金によるお支払いが可能です。
クレジットカード
クレジットカード
VISA・MASTERCard・JCB・AMERICAN EXPRESS・ダイナースなどのカードがお使いいただけます。
電子マネー
電子マネー
電子マネー(交通系IC、QUICPay、iD、楽天Edy、WAON)がお使いいただけます。
デンタルクレジット
デンタルクレジット
エポスのデンタルクレジットによる分割払いでお支払いをサポートいたします。
2-60回払いの選べるお支払いがあり、最大金額200万までご利用可能です。最短15分の簡単申し込みでクレジットカードは不要です。
クレジットカード払いよりも分割手数料を低く抑えられます。
※ご利用には審査が必要です。
※お申し込み内容及び他のご利用状況によりましては、ご希望にそいかねる場合や条件の 一部変更をお願いする場合がありますのでご了承ください。なお、審査の結果の詳細に つきましてはお答え出来ませんので、あらかじめご了承のうけ、お申込みください。
※当社規定によりご利用いただけない場合がございます。

ACCESS
アクセス

  • JR横浜線「町田駅」から徒歩4分
  • 小田急線「町田駅」から徒歩4分

〒194-0013 東京都町田市原町田6-26-11 岡本ビル2F
電話番号:050-1721-3563

to top

LINEから24時間WEB予約できます 無料カウンセリングを予約する