むし歯や歯周病の予防に特化した町田の歯医者「ウェルネスデンタルクリニック(旧:前田歯科医院)」のブリッジ・入れ歯・ブリッジ治療を紹介

診療時間
出勤日

〒194-0013 東京都町田市原町田6-26-11 岡本ビル2F

新規の患者様もLINEからお問い合わせください。

お友達登録

  • JR横浜線 町田駅から徒歩4分
  • 小田急線 町田駅から徒歩4分

診療時間

診療時間
9:30 - 12:30
14:00 - 17:00

【休診日】月曜日・日曜日・祝日

ウェルネスデンタルクリニック
(旧:前田歯科医院)ではブリッジを
推奨しています
違和感なく、噛みごたえを
復活できる治療法です

  • TOP
  • ブリッジ・入れ歯・インプラント

歯を失ったまま放置すると、周囲の歯が動いて噛み合わせが崩れ、お口全体のバランスが乱れやすくなります。
食事のしづらさだけでなく、残っている歯に負担がかかり、将来的に別のトラブルにつながる可能性もあります。
このページでは、ブリッジ/入れ歯/インプラントを「噛める安定・見た目・違和感・周りの歯への影響・費用/期間・リスク」の軸で比較し、選び方を整理します。
当院はまず天然歯を残す可能性を追求し、すでに失っている場合も「これ以上まわりの歯を減らさない」「残っている歯を守る」回復方法を優先して考えます。
迷っている段階でも大丈夫です。現状を確認してから、納得できる回復方法を一緒に決めていきます。

ブリッジ・入れ歯・
インプラント|
失った歯を補い、噛める毎日へ

歯を失う理由はさまざまです。けれど、失った歯をそのままにしておくと、残っている歯が動いて噛み合わせが変化し、お口全体のバランスが崩れる可能性があります。お口のバランスが崩れることは、食事のしづらさだけでなく、全身の健康にも影響を及ぼすことが考えられます。だからこそ、早めの機能回復が大切です。

さまざまな治療法から歯の機能回復の方法を選びましょう

まずは「歯を残す可能性」を
追求することからはじめます

天然歯の価値を大切にし、残せる可能性を検討します。人工歯は便利ですが、当院ではできるだけご自身の歯を残すことを基本に考えます。すでに歯を失っている場合でも、これ以上まわりの歯を減らさない選択を優先して、回復方法を検討していきます。

「失った歯を補う」治療は、残っている歯を守る治療でもあります

歯がない部分を放置すると、噛み合わせが崩れます。崩れた噛み合わせは、残っている歯に余計な負担をかけ、別のトラブルを呼び込みやすくなります。回復治療は“見た目のため”だけではなく、残っている歯を守るための現実的な手当でもあります。

「どれが正解か」より、「何を守るか」で選びます

回復方法にはそれぞれ特徴があります。例えば部分入れ歯は、残っている歯にバネ(クラスプ)をかけるため、支台となる歯に大きな負担がかかりやすい側面があります。だから当院では、メリットだけでなくデメリットも整理し、納得して選べるようにご説明します。

歯を失った場合には
「補う」必要があります

歯を失った状態で放置してしまうと、噛み合わせがおかしくなり、身体へ様々な影響を及ぼします。

だからこそ、歯を失ってしまった場合には、その「失った歯を補い、正しい噛み合わせを取り戻す」必要があります。

歯を失ったスペースは、時間が経つほど周りが動いて埋まり、噛み合わせの歪みが進行します。そうなる前に「補う」を進めます。

歯を失った場合には「補う」必要があります

失った歯を補う方法は3つ(ブリッジ/インプラント/入れ歯)

失った歯を補う方法は、①ブリッジ、②インプラント、③入れ歯です。

当院ではそれぞれの特徴を考慮し、選ぶ基準は「ブリッジ > インプラント > 入れ歯」の順になります。

※表は左右にスクロールして確認することができます。

①ブリッジ
②インプラント
③入れ歯
当院では両隣の歯がしっかりしている場合、基本的にインプラントよりもブリッジを推奨しています。
インプラントは人工物を骨の中に埋め込む治療法ですが、ブリッジでは自分の歯を使う治療法です。
ブリッジとは、失った歯の両隣の歯を土台にして、人工歯を橋のようにかけ渡す治療法です。固定式なので、部分入れ歯にくらべて安定性が非常に高く、違和感が少ないため、しっかり咬むことができます。
両隣に歯がない場合(ブリッジが適用できない場合)や、歯がしっかりしていない場合はインプラントを推奨しています。
チタンでできたインプラント(人工のネジ)を骨の中に入れて、その上に人工歯をつける治療法です。
骨の中にインプラントを入れるための手術が必要となり、また十分な骨量がない場合は、別で骨を作る手術が必要となります。固定式なので、部分入れ歯に比べて安定性が非常に高く、違和感が少ないため、しっかり咬むことができます。
インプラントを入れるだけの骨量がない場合は入れ歯で治療しています。
ブリッジやインプラントと比べるとグラグラするため固いものが咬みづらく、残っている歯に金具を引っかけて固定するため、入れ歯を支える歯に負担がかかるという欠点がありますが、取り外し式なので外して洗うことができるという利点があります。

比較表

それぞれの特徴

※表は左右にスクロールして確認することができます。

  ブリッジ インプラント 入れ歯
  ブリッジ インプラント 入れ歯
保険適用 保険診療 自費診療 自費診療 保険診療 自費診療
機能性 ほぼ天然歯と同じように噛める 天然歯に近い感覚でかたい物も噛める 安定しにくいので噛みにくい
美しさ 保険外診療の素材を選べば天然歯に近くつくれる 天然歯のように美しく仕上げられる 入れ歯だと気づかれやすい
違和感 違和感は少ない ほとんど違和感はない 比較的大きいので異物感がある
歯への影響 支台の歯を大きく削らなければならない まわりの歯への影響はない バネをかける歯に大きな負担がかかる
外科的治療 不要 手術が必要 不要
費用 保険診療も自費診療も選べて、比較的安価 保険外診療なので比較的高額 保険診療も自費診療も選べて、比較的安価
治療期間 比較的短期間
(目安:6ヶ月~)
1年~ 比較的短期間
(目安:2か月程度で整作可能)
メリット
  • しっかり噛める
  • 手術の必要がない
  • 比較的短期間で治療できる
  • 保険診療も選べる
  • 保険外診療のブリッジは見た目も自然
  • しっかり噛める
  • 違和感がほとんどない
  • 自然に見える
  • 残っている歯に負担をかけない
  • 取り外す手間がかからない
  • 保険診療は比較的安価
  • 比較的短期間で治療できる
  • 手術が不要
デメリット
  • 支台となる健康な歯を削らなければならない
  • ブリッジと歯ぐきの間に食べかすがたまりやすい
  • 保険診療の場合は見た目があまりよくない
  • 手術が必要
  • 治療費が比較的高額
  • 治療期間が長め
  • メンテナンスが欠かせない
  • かたい物を噛みにくい
  • 大きめなので違和感がある
  • 入れ歯だと気づかれやすい
  • 部分入れ歯はバネをかける歯に大きな負担をかける
  • 総入れ歯は食べ物の温度や味を感じにくい

ブリッジ
(当院が基本としてすすめる
回復方法)

当院ではブリッジを推奨しています

ブリッジは、条件が合うなら「噛める」「違和感が少ない」「固定式で安定する」という強みがあります。もちろん支台歯を削る必要があるため万能ではありません。だからこそ、検査・診断で支台歯の状態を確認し、無理のない設計を前提に考えます。

ブリッジとは|失った歯の両隣を土台にし、橋のようにかけ渡す治療

ブリッジとは、失った歯の両隣の歯を土台にして、人工歯を橋のようにかけ渡す治療です。固定式なので部分入れ歯に比べて安定性が高く、違和感が少ないため、しっかり噛めます。

見た目と強さは「素材選び」で変わります(保険/自費)

人工歯を保険適用の素材にすると費用は抑えられます。一方で自費の場合、当院ではジルコニアという審美素材を選ぶことができ、天然歯に近い仕上がりを目指せます。どこを優先するか(見た目/耐久性/体へのやさしさ/費用)を先に決めると選びやすくなります。

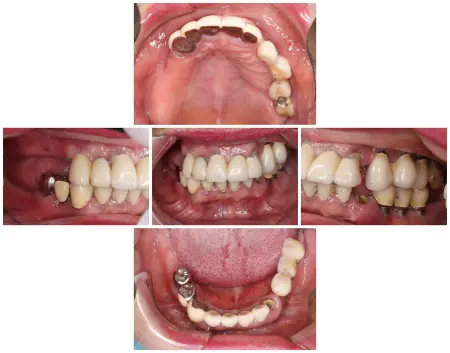
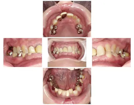
症例(ブリッジ)

50代女性:奥歯欠損で低くなった噛み合わせを、ジルコニアの「延長ブリッジ」や被せ物で改善した症例

治療前

治療前

治療後

治療後
診療種別 自由診療
治療期間・回数の目安 5年
治療費総額の目安 ※記載の料金は治療当時のものです。
最新の治療費はお問い合わせください。
4,081,488円
主なリスク ブリッジ装着で天然歯を削る必要/土台歯に負担がかかり将来的に揺れ・破折の可能性/硬い素材で他の歯を傷つける可能性/噛み合わせ・歯ぎしりでジルコニアが割れる可能性/(一部を除き)自費診療

支払い方法についてはこちらをご確認ください。

インプラント
(ブリッジが難しい場合の
選択肢)

両隣に歯がない、あるいは歯がしっかりしていない場合など、ブリッジが適用できないケースではインプラントが選択肢になります。固定式で安定性が高く、違和感が少ない点は大きなメリットです。反面、骨の中にインプラントを入れる手術が必要で、骨量が足りない場合は骨をつくる手術が必要になることもあります。

インプラントとは|骨の中に人工の土台を入れ、その上に歯をつける

チタンでできたインプラント(人工のネジ)を骨の中に入れ、その上に人工歯をつける治療です。固定式のため、部分入れ歯に比べて安定性が高く、違和感が少ないとされています。

当院のインプラントの特徴:ガイデッドサージェリー

ガイデッドサージェリー

ガイデッドサージェリー

当院ではガイデッドサージェリーを導入しています。CT撮影で得たデータを利用して治療のためのガイドを作成し、3D画像で骨や神経の位置を確認しながら、理想的な位置にインプラントを埋入する考え方です。

ガイデッドサージェリーのメリット

ガイデッドサージェリーのメリット

①理想的な位置に埋入しやすい
顎の骨や患者様の個別の要素に基づいて詳細なデータを収集し、事前に分析を行います。これにより、術後の違和感を最小限に抑えることができます。また、高度な精密治療にも対応できるため、精度の高いインプラント手術が可能です。

②手術中の負担軽減(歯肉を大きく切開せずに済む可能性が高い)
事前に埋入位置が確定しているため、歯肉を大きく切開する必要がありません。出血や痛み、腫れが少なく、外科治療に抵抗のある患者様の負担を軽減できます。

③大量出血や神経損傷などのリスク回避に寄与する
通常の手術では、インプラントの埋入位置が適切でない場合、大量出血や神経への損傷などのトラブルが起こる可能性があります。事前に血管や神経の位置を把握し、埋入位置を確定するため、これらのリスクを回避することができます。

④手術時間の短縮につながる
埋入位置の正確な計画により迷いがなく、大きな歯肉切開が不要なため効率的です。インプラントサイズも事前に決定されるため、スムーズな手術が可能です。

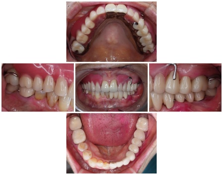
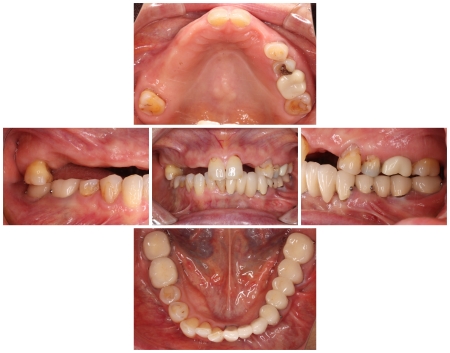
症例(インプラント)

60代女性:温存が困難な歯を抜歯し、新しい入れ歯+インプラント治療でしっかり噛めるようにした症例

治療前

治療前

治療後

治療後
診療種別 自由診療
治療期間・回数の目安 約1年
治療費総額の目安 ※記載の料金は治療当時のものです。
最新の治療費はお問い合わせください。
2,159,300円
主なリスク 着脱式のため食後清掃が必要/最初は異物感がある場合/外科手術後の痛み・腫れ・違和感/メンテナンス不良や喫煙で悪影響が出る可能性/持病や服薬により外科処置ができない場合/痛みが長引く場合

支払い方法についてはこちらをご確認ください。

入れ歯(骨量などの条件で
インプラントが難しい場合)

インプラントを入れるだけの骨量がない場合など、入れ歯が現実的な選択肢になります。取り外し式で洗える利点がある一方、ブリッジやインプラントに比べて安定しにくく、違和感が出やすい点は事前に理解が必要です。

入れ歯の基本:部分入れ歯と総入れ歯

残っている歯の有無に合わせて、部分入れ歯か総入れ歯を作ります。

保険と自費で変わるのは「素材の自由度」と「装着感」

入れ歯は残っている歯の有無に合わせて、部分入れ歯か総入れ歯をつくります。入れ歯は保険診療、自費診療で選択できる素材、形状、使用感が大きく異なります。保険診療の入れ歯は負担費用が一部ですので比較的安価です。しかし素材や作製方法・治療回数に制限があります。一方で、自費診療の入れ歯は比較的高額ですが、「見た目を自然に美しくしたい」「食べ物の温度を感じたい」「異物感を減らしたい」など、患者様の要望にできるかぎり応えられます。

保険診療の入れ歯は当院では原則として行っていません。

  保険診療の入れ歯 自費診療の入れ歯
歯の部分 材料が限定されるので、色や形をほとんど選べない さまざまな素材や形、色を選択できる
歯ぐきの部分 レジン(歯科用プラスチック)でつくるので厚みがあり、ある程度大きいので使用感があまりよくないうえ、食べ物の温度や食感が伝わりにくい 金属床を選択すると、丈夫なうえ薄くつくれるのでレジン床義歯にくらべて装着感がよい。食べ物の温度や食感が伝わりやすく味覚を楽しめる
固定方法 金属のバネで固定するので目立つうえ、支台の歯に大きな負担がかかる 残っている歯に負担がかかりにくい固定方法を選択できるうえ、目立たないようにつくれる
調節 月1回まで 自由

入れ歯の種類

レジン床義歯(自費・保険)/シリコンデンチャー(自費)/金属床義歯(自費)があります。

種類 特徴
レジン床義歯(自費・保険) プラスチック製。保険だと厚みが出やすく違和感を感じることがあるが、自費は比較的自然な見た目、噛み合わせが可能。
シリコンデンチャー(自費) シリコンで痛みが出にくい設計を目指す。吸着力が高い
金属床義歯(自費) 薄く作りやすく、違和感が少なく温度も伝わりやすい

レジン床義歯(自費診療・保険診療)

レジン床義歯(自費診療・保険診療)

床の部分をレジンでつくり、ほとんどの症例に使用できます。保険のレジン床義歯は比較的安価で修理や調整も簡単にできます。ただし厚みがあるので装着感があまりよくありません。部分入れ歯のときには金属のバネがつきます。
自費のレジン床義歯は、保険より設計や工程に自由度があり、噛み合わせ・型取り・調整に時間をかけて作れます。その分、フィット感や安定感が出やすく、違和感(厚み)を減らしたり、人工歯の色や形など見た目も自然に寄せやすいのが特徴です。

ノンクラスプデンチャー(自費診療)

ノンクラスプデンチャー(自費診療)

弾力性のある特殊な樹脂でつくる部分入れ歯です。見た目も自然で、薄めでフィット感があり、違和感も比較的少なめです。

シリコンデンチャー(自費診療)

シリコンデンチャー(自費診療)

歯ぐきにあたる部分にシリコンを貼った入れ歯です。フィットするので装着時の痛みがほとんどありません。クッションがある状態なのでグッと噛みしめられます。ただしシリコン部分が変色しやすく、修理が難しい素材です。

金属床義歯(自費診療)

金属床義歯(自費診療)

床の部分を金属でつくります。薄くつくれるので違和感が少なく、熱も伝わりやすいために味覚を助けます。使用金属にも種類があり、それぞれで軽さや装着感が異なります。

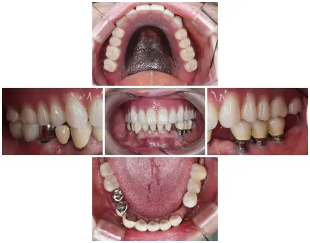
症例(入れ歯)

80代女性 咬合高径を高く調整したあと破損した部分入れ歯を作り直した症例

治療前

治療前

治療後

治療後
診療種別 自由診療
治療期間・回数の目安 約1年
治療費総額の目安 ※記載の料金は治療当時のものです。
最新の治療費はお問い合わせください。
2,330,000円
主なリスク 装着に際し、天然歯を削る場合があります/硬い素材の場合、他の天然歯を傷つけることがあります/着脱式のため、食後の清掃が必要です/最初のうちは異物感があり、慣れるまで時間がかかる場合があります/慣れるまでは、入れ歯の裏側の粘膜に傷ができる場合があります

3つの治療法をどう比べるか

比較の軸を先に固定すると、
自分に合う選択肢が見えてきます。

治療法比較表

※表は左右にスクロールして確認することができます。

比較の軸 ブリッジ インプラント 入れ歯
  ブリッジ インプラント 入れ歯
噛めるか ◎(しっかり噛める) ◎(天然歯に近い) △(安定性に課題あり)
見た目 ○(素材による) ◎(非常に自然) △〜○(バネの有無による)
違和感 少ない(固定式) ほとんどない(固定式) 出やすい(取り外し式)
周りの歯への影響 △(支台歯を削る) ◎(影響が少ない) △(バネで負担がかかる)
手術の要否 不要 必要 不要
費用 保険〜自費 自費(高額になりやすい) 保険〜自費
期間 比較的短い 長い(骨の結合を待つ) 比較的短い

LINE予約(ご予約・ご相談)

歯を失ったまま放置すると、噛み合わせのズレが進みやすくなります。いま困っていること(噛めない/見た目/痛み/違和感)を言語化できなくても大丈夫です。まずは一緒に現状を確認し、ブリッジ・インプラント・入れ歯の違い、メリットデメリットなどを丁寧にご説明します。

歯を失ったときの治療には
選択肢があります
丁寧にご説明します
ご予約はこちらから

  • LINEからお問い合わせください
  • ※ご予約・ご相談はLINEにてお願い致します。登録後電話も可能です。
    ※LINE登録については、ご予約・ご相談以外での情報利用は一切ございません。 いつでもブロック・配信停止ができますのでご安心ください。

よくある質問(FAQ)

「どれを選ぶべきか」で止まっている時間が、いちばんもったいない部分です。ここでは迷いどころを先回りして整えます。

  • ブリッジ・インプラント・入れ歯、結局どれがいいですか?

    条件で変わります。両隣の歯がしっかりしている場合は、当院は基本的にブリッジをすすめます。両隣に歯がない場合や歯がしっかりしていない場合はインプラントが選択肢になります。インプラントが難しい条件(骨量など)の場合は入れ歯で治療します。

  • 入れ歯は、支える歯に負担がかかりますか?

    部分入れ歯は残っている歯にバネ(クラスプ)をかけるため、支台となる歯に負担がかかりやすく、ダメージにつながることがあります。だから当院は、周りの歯をできるだけ残す考え方で治療法を検討します。

  • インプラントは手術が必要ですか?

    骨の中にインプラントを入れるため、手術が必要です。骨量が足りない場合は、別で骨をつくる手術が必要になることがあります。

  • 見た目を自然にしたい場合、選び方は変わりますか?

    保険適用の素材は費用を抑えられますが、見た目の自然さや素材の選択肢には限界が出やすくなります。自費の場合、当院ではジルコニアという審美素材をご提供しており、天然歯に近い仕上がりを目指せます。

  • ガイデッドサージェリーとは何ですか?

    CT撮影で得たデータを利用してガイドを作成し、3D画像で骨や神経の位置を確認しながら、シミュレーションに沿って手術を進める考え方です。

  • インプラントが怖い(痛い・腫れるのが不安)けど、しっかり噛めるようになりたいです。

    不安があるのは自然です。インプラントは外科処置が必要なため、まずは「そもそもインプラントが必要な条件か(ブリッジが可能か)」を確認します。ブリッジが難しい条件でインプラントを検討する場合も、当院ではCTデータを活用したガイデッドサージェリーを導入しており、3D画像で骨や神経の位置を確認しながら、シミュレーションに沿って進める考え方です。
    ※痛み・腫れの出方には個人差があり、持病や服薬状況で適応が変わる場合もあります。

  • 「手術は避けたい」場合、インプラント以外に選択肢はありますか?

    はい。欠損の場所・本数・両隣の歯の状態によっては、ブリッジや入れ歯で回復できる可能性があります。固定式の違和感の少なさを重視するならブリッジ、条件的に難しい場合は入れ歯も含めて検討します。

  • ブリッジにすると、健康な歯を削るのが怖いです。

    ブリッジは支台歯(両隣の歯)を土台にするため、削る必要があります。そのため「削る=悪」ではなく、支台歯の状態・欠損部の条件・噛み合わせを含めて、無理のない設計かどうかを確認することが重要です。条件が合わないのにブリッジを選ぶと、支台歯に負担が集中しやすくなる可能性があります。

  • 入れ歯は違和感が強いと聞いて不安です。慣れますか?

    入れ歯は取り外し式のため、最初は異物感が出ることがあります。違和感の程度は「厚み」「安定性」「噛み合わせ」「設計・調整回数」で変わります。保険と自費では素材の自由度や装着感に差が出るため、「違和感を減らしたい」希望が強い場合は、その前提で選択肢を整理します。

ACCESS
アクセス

  • JR横浜線「町田駅」から徒歩4分
  • 小田急線「町田駅」から徒歩4分

〒194-0013 東京都町田市原町田6-26-11 岡本ビル2F
電話番号:050-1721-3563

to top

LINEから24時間WEB予約できます 無料カウンセリングを予約する