むし歯や歯周病の予防に特化した町田の歯医者「ウェルネスデンタルクリニック(旧:前田歯科医院)」の歯周病治療と予防を紹介

診療時間
出勤日

〒194-0013 東京都町田市原町田6-26-11 岡本ビル2F

新規の患者様もLINEからお問い合わせください。

お友達登録

  • JR横浜線 町田駅から徒歩4分
  • 小田急線 町田駅から徒歩4分

診療時間

診療時間
9:30 - 12:30
14:00 - 17:00

【休診日】月曜日・日曜日・祝日

ウェルネスデンタルクリニック
(旧:前田歯科医院)の歯周病治療は
エアフローだから痛くない、リラックスできる治療

  • TOP
  • 歯周病治療と予防

口元の印象は、今から変えられます。歯の色が気になって笑顔を控えるのは、もう終わりにしましょう。ホワイトニングは歯を削らず、歯の内側の黄ばみにアプローチして白さを目指す治療です。
ただし大人のホワイトニングは、勢いで選ぶと満足度が下がります。知覚過敏の出やすさ、歯ぐきの状態、詰め物・被せ物の有無で、適した方法もゴールも変わるからです。ウェルネスデンタルクリニック(町田)では、オフィスホワイトニング提供中。ホームとの違いを整理し、希望の白さ・期限・ライフスタイルまで含めて“最短距離の計画”を設計します。まずは初診で状態を確認し、見通しを明確にしてから進めましょう。

痛くない眠ってしまう
歯周病治療
歯を残すための
「治療から予防」へ
町田のウェルネス
デンタルクリニック
(旧:前田歯科医院)

歯周病は「痛みが少ないまま進む」ことがあり、気づいたときには歯ぐきや骨にダメージが進んでいるケースがあります。だから私たちは、まず状態を正確に確認し、必要な治療で土台を整えたうえで、再発しにくい口内環境へつなげます。

当院が大切にしているのは、次の3つです。

  • できるだけ痛み・不快感を抑える(エアフローを活用)
  • 治療で整えたあとに、予防で守る(「治療→予防」の順番)
  • 続けられるメンテナンス設計(快適で心地よいメンテナンス「GBT」)

ウェルネスデンタルクリニック(旧:前田歯科医院)の
歯周病治療は、エアフロー
だから痛くない。
リラックスできる治療

「歯ぐきが下がってきた気がする」
「歯みがきで血が出る」
「口臭が気になる」
「歯がグラつく感じがする」

こうしたサインがあると、頭では“行った方がいい”と分かっていても、怖さが先に立ちます。
私たちは、その怖さをできるだけ小さくしながら、歯周病をしっかり整え、長く守る治療を目指します。

こんな症状があれば、
早めにご相談ください

  • 歯みがきやフロスで出血する
  • 歯ぐきが腫れる/ムズムズする
  • 口臭が気になる
  • 朝起きたときに口の中がネバつく
  • 歯が長く見える(歯ぐきが下がった気がする)
  • 歯が浮く感じ・グラつく感じがある

「痛みがないから大丈夫」とは限りません。違和感の段階で一度確認すると、選べる治療の幅が広がります。

「治療」から「予防」へ

「治療」から「予防」へ

「予防が大切」──本当にその通りです。
ただ、歯ぐきに炎症がある状態では、予防の効果が出にくいことがあります。私たちはまず、治療で炎症を落ち着かせる“土台づくり”を行い、そのうえで予防へ進みます。

日本人の約8割が歯周病、またはその予備軍だと言われています。特別な人だけの病気ではないからこそ、気づいた時点での受診が大切です。

初診は「検査・カウンセリング」が中心です

初診では、いきなり大きな処置を進めるのではなく、次の順番で進めます。

  • お悩みの確認(出血・口臭・しみる・腫れ・違和感など)
  • 口の中の状態チェック(歯ぐき・汚れ・炎症のサイン)
  • 結果の共有と、治療の優先順位のご提案

痛みや腫れが強い場合は、必要に応じて応急処置を優先します。

歯周基本治療(自費診療)|費用の目安

検査結果と診断に基づき、症状に応じて治療内容・費用・担当者が決まります。

  • 費用目安:127,600円〜726,000万円(税込)
  • ※被せ物は別途費用がかかります
  • ※重度の場合は手術費用が別途かかることがあります

「結局いくら?」に対して曖昧なまま進めることはしません。検査結果を踏まえて、何をどこまで行い、どんなゴールを目指すのかを先にすり合わせます。

エアフローで「痛くない」
「歯を傷つけない」

エアフローで「痛くない」「歯を傷つけない」

歯の表面が傷つくと、汚れ(プラーク)がつきやすくなり、歯周病の発症リスクが高まります。
当院では、微細粒子を吹きつけたり、超音波を利用したりすることで、汚れにアプローチしつつ、歯や歯ぐきをできるだけ傷つけない治療を目指します。その結果、痛みが少なく、リラックスして受けられる体験につながります。

「防ぐ専門家」の
歯科衛生士が常勤

「防ぐ専門家」の歯科衛生士が常勤

歯周病は、治療で整えたあとに「どう守るか」が結果を左右します。
私たちは、患者さん一人ひとりと向き合い、生活習慣や磨き方の癖も含めて原因を探り、再発しにくい状態へ導くことに力を入れています。

歯周病は「お口の病気」で
終わりません(全身との関わり)

歯周病は、口臭や歯ぐきの痛みだけでなく、全身の健康にも影響する可能性があると考えられています。お口を整えることは、身体全体を守ることにもつながります。

1心疾患
歯周病の原因菌の作用により、心筋梗塞や狭心症などの心臓関連の病気のリスクが高まります。
2糖尿病
歯周病と糖尿病は密接に関連しているといわれています。糖尿病にかかっていると歯周病も併発している傾向があります。
3誤嚥性肺炎
歯周病菌がたくさん含まれている唾液を誤嚥(ごえん)して気管や肺に入ってしまうと、肺炎や気管支炎をおこすことがあります。とくに抵抗力が弱っている高齢者は注意が必要です。また、一般的に高齢者がかかる病気と認識されていますが、世界的には若年層の病気として知られていますので、決して油断してはいけません。
4早産・低体重児出産
妊婦さんが歯周病を悪化させると、血液中に入った歯周病の原因菌やその毒素によって子宮の筋肉に影響し、早産や低体重児出産のリスクを高めるといわれています。
5脳梗塞
歯周病菌が脳の動脈を狭める脳梗塞を引き起こすことがあります。
6骨粗しょう症
歯周病により、咬む力が低下すると食物の吸収力が下がり、骨粗しょう症を引き起こすことがあります。
7ピロリ菌感染胃疾患
歯周病が進行し、歯周ポケットが深くなるとその中にピロリ菌が潜んでいる可能性があります。ピロリ菌が腸に到達すると、消化機能の低下を引き起こします。
8腎炎・関節炎
腎炎・関節炎の原因となる黄色ブドウ球菌や連鎖球菌は歯周病の原因菌とともに、口腔内に潜んでいることが多いです。
9メタボリックシンドローム
歯周病の原因菌から法室される毒素は脂肪組織や肝臓のインスリン抵抗性を増加させ血糖値を上昇させます。

歯周病は
病気です

歯周病は、状態を整え、汚れ(プラーク)をコントロールできるようになると、進行を抑えたり安定させたりすることができます。ここからは当院が大切にしているメンテナンスの流れをご紹介します。

快適で心地よいメンテナンス「GBT」

EMSのGBT公式情報 も参考にしていただけます。

予防こそが健康を守ります

GBTは、メンテナンスを「感覚」ではなく「手順」で整える考え方です。状態確認→可視化→セルフケア支援→クリーニング→再評価→スケジュール決定までを一連で行い、再発しにくい状態を目指します。

01.健康状態の確認

歯ぐきの健康状態を確認しましょう

歯ぐきは歯を支える骨の周りにあり、お口の健康状態を確認するときのバロメーターとなります。お口の中のプラークは、むし歯や歯周病の原因となります。歯ぐきの状態確認をすることで、お口の健康状態を評価することが可能です。

歯ぐきの健康状態を確認しましょう

02.プラークの可視化

専用の染色液でプラークを見てみましょう

クリーニングを始めましょう!むし歯や歯周病菌の塊であるプラークを、専用の染色液を使って染め出します。クリーニングする際にわかりやすいので、メンテナンス時間の短縮になります。

専用の染色液でプラークを見てみましょう

03.歯磨き方法をレクチャー

自宅でのお手入れ方法をお伝えします

1人ひとりお口の中の状態が異なるので、歯磨き方法や使用する道具が異なります。患者様にあった道具や磨き方を歯科衛生士からお教えします。毎日のケアでお口の中を健康に保ちましょう!

自宅でのお手入れ方法をお伝えします

04.歯のクリーニング

温かい水と粉の力でやさしくきれいに

汚れている箇所が可視化できたので、プラークやステインをスプレー洗浄していきましょう。装置は歯に触れないため不快感がなく、むしろ心地よいです。小さなお子さんでも嫌がることはありません。

温かい水と粉の力でやさしくきれいに

05.歯ぐきのクリーニング

歯ぐきの奥まですっきりきれいに

歯と歯ぐきの間に深い溝のあるかたには、溝に残っているプラークのクリーニングを行います。ここでもスプレー洗浄でやさしく洗浄します。深い溝がないかたは次のステップへ進みます。

歯ぐきの奥まですっきりきれいに

06.歯石の除去

超音波振動で頑固な歯石を除去

歯石の除去も超音波を使った装置で痛みを感じずに除去することができます。歯石はプラークの隠れ家です。しっかりと除去しましょう。歯石を取ると歯本来のつるっとした質感になります。

超音波振動で頑固な歯石を除去

07.最終確認

歯がきれいな状態でお口の中を確認

クリーニング後は歯や歯間、治療痕などの状態が非常に見やすいです。取り残した歯石がないかに加え、状況確認を行います。最後にフッ素を塗って歯をキレイにコーティングをしましょう。

歯がきれいな状態でお口の中を確認

08.スケジュール決定

定期的に状況を確認しましょう

これまでの工程を3~6ヵ月の期間で定期的に行うことで、快適で心地よい歯を維持し続けられます。また、定期的に歯をメンテナンスすることで、歯が強くなりむし歯になりにくくなります。

定期的に状況を確認しましょう

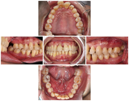
症例(歯周病治療)

40代男性 重度の「若年性歯周病」を改善させ、自然な見た目の「ジルコニアブリッジ」で美しい口元にした症例

治療前

治療前

治療後

治療後
診療種別 自由診療
治療期間・回数の目安 3年
治療費総額の目安 776,600円
主なリスク ブリッジは土台となる歯に負担がかかるため、将来的に歯が揺れたり、歯の根が割れたりする可能性があります/噛み合わせや歯ぎしりが強い場合、被せ物が破損する可能性があります/治療が終わった後も、十分なセルフケアが必要です/正しいブラッシングやメンテナンスを行わない場合、歯石の付着や虫歯が生じる可能性があります

歯周病を予防する
=「自分の身体」を守る

歯周病を予防する=「自分の身体」を守る!
歯周病を防ぐことは、歯を守ることだけではなく、全身の健康を守ることにもつながる──私たちはそう考えています。

歯周治療の料金

歯周基本治療 127,600~726,000円(税込)
メンテナンス 48,400円(税込)
歯周病治療のための仮歯 67,100円(税込)
※別途診察料6,600円(税込)が必要
歯周病治療のための仮歯修理1時間 15,400円(税込)
※別途診察料6,600円(税込)が必要
FOP(※) 133,100~193,600円(税込)
※別途診察料6,600円(税込)が必要
暫間固定 67,100円(税込)
※別途診察料6,600円(税込)が必要
暫間固定修理1時間 15,400円(税込)
※別途診察料6,600円(税込)が必要

※FOP(Flap Operation:フラップ手術)とは、歯肉剥離掻爬術(しにくはくりそうはじゅつ)の略で、深い歯周ポケット内の歯石や感染物質を歯ぐきを一時的に切り開いて(剥離して)目視で直接確認しながら徹底的に除去する歯周外科治療の基本的手術。歯周病の進行を止め、歯を長持ちさせるために行われます。

よくある質問(FAQ)

迷いを減らすために、質問が出やすいポイントを先回りして整理します。

  • 歯周病は予防できますか?

    はい。治療で状態を整えたうえで、定期的なメンテナンスとセルフケアで、発症や再発のリスクを下げていくことが可能です。

  • 歯周病治療は痛いですか?

    痛みに不安がある方は多いです。当院はエアフローなどを活用し、できるだけ痛みや不快感を抑えられるよう工夫しています。

  • 治療が終わったら通院は不要ですか?

    治療が終わったあとが「予防のスタートライン」です。プラークは時間とともに再び蓄積するため、定期的なメンテナンスが欠かせません(目安:1〜6か月に1回)。

  • どんな場合に自費治療を提案されますか?

    検査結果と診断に基づき、状態に応じて治療内容やプランをご提案します。必要性とゴールを共有し、納得して進められることを大切にしています。

  • 歯周病は全身の健康と関係がありますか?

    はい。歯周病は全身の健康と深く関わっています。お口を整えることは、身体を守ることにもつながります。

  • 歯ぐきから血が出ます。痛みがなくても歯周病の可能性はありますか?

    はい。痛みが出る前に進むことがあります。出血は炎症のサインなので、検査で状態を確認しましょう。

  • 口臭が気になります。歯周病と関係がありますか?

    口臭の原因はさまざまですが、歯ぐきの炎症や歯周ポケットの汚れが関係することがあります。原因を整理してから整えていきます。

  • エアフローは「クリーニング」と何が違うのですか?

    汚れ(プラーク)に狙いを定め、歯や歯ぐきをできるだけ傷つけないことを重視しています。快適さと再発予防を両立させるための手段です。

  • GBTは毎回同じ内容ですか?頻度はどれくらいですか?

    基本の流れ(8ステップ)は大切にしつつ、状態に合わせて重点を変えます。頻度は状態によって異なり、目安は1〜6か月ごとです。

  • 歯周病治療はどれくらい費用がかかりますか?

    進行度や範囲で変わります。目安として歯周基本治療(自費)は 127,600円〜726,000円(税込)(※被せ物別途/重度は手術費用別途の可能性)です。

最後に:
歯を守る治療を、町田で

私たちは「いまだけ」ではなく、10年後・20年後まで見据えて歯を守ることを大切にしています。

当院のコンセプトもよければご覧ください。

予約・相談(LINE)

歯ぐきの「腫れや出血」が
気になりませんか?
歯周病はしっかり治療して、
しっかり予防しましょう
ご予約はこちらからどうぞ

  • LINEからお問い合わせください
  • ※ご予約・ご相談はLINEにてお願い致します。
    登録後電話も可能です。
    ※LINE登録については、ご予約・ご相談以外での情報利用は一切ございません。 いつでもブロック・配信停止ができますのでご安心ください。

ACCESS
アクセス

  • JR横浜線「町田駅」から徒歩4分
  • 小田急線「町田駅」から徒歩4分

〒194-0013 東京都町田市原町田6-26-11 岡本ビル2F
電話番号:050-1721-3563

to top

LINEから24時間WEB予約できます 無料カウンセリングを予約する