CASE
CASE
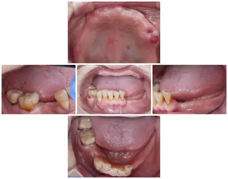
「食事の途中で入れ歯が外れてしまう。以前のようにビフテキを食べられるくらいしっかり噛めるようになりたい」とご相談いただきました。
患者様は1991年より来院されており、10年前には右上前歯から左上奥歯までの8本分を連結した被せ物「フルジルコニアブリッジ」で治療していました。(治療前画像の2枚目)
拝見したところ、上下ともに取り外し式の部分入れ歯が装着されていましたが、下顎には状態が悪く温存できない歯が3本あり、噛み合わせの高さがずれる「フレアアウト」も見られました。
フレアアウトは、歯ぐきや歯を支える骨が細菌感染する「歯周病」をはじめとするいくつかの原因が重なって歯並びや噛み合わせが崩れることで生じ、出っ歯やすきっ歯など噛み合わせが悪くなるリスクがあります。
患者様の場合もフレアアウトを放置した結果、上顎のフルジルコニアブリッジが前方に突出し、上下の部分入れ歯も外れやすくなり、しっかり噛むことが難しくなったと考えられました。
このまま治療せずにいると、さらに歯並びと噛み合わせが悪化し、肩こりや頭痛などの症状が生じて全身の健康に悪影響を及ぼす可能性があります。
再び食べ物をしっかり噛めるようにするには、崩れた歯並びや噛み合わせを整える治療と、外れやすい上下の入れ歯も作り直す必要があると診断しました。
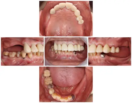
上顎はフルジルコニアブリッジ部分が前方に出ており、このままだと噛み合わせを整えることが難しいため、ブリッジを外して総入れ歯にする治療の必要性を説明しました。
前歯は歯の根を残すことも可能ですが、総入れ歯を顎の粘膜にしっかり吸着させるためにはすべて抜歯する必要があることもお伝えしたところ、治療に同意いただきました。
また下顎は温存できない歯3本を抜いてから、部分入れ歯を新しく作製します。
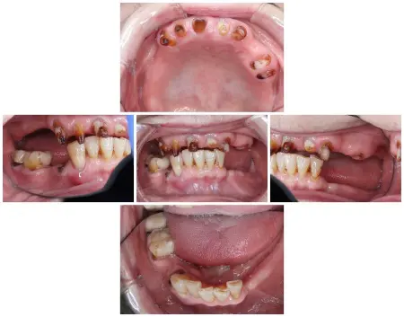
まず上下顎の歯を抜き、歯ぐきの回復を待ってから仮の入れ歯を作製しました。
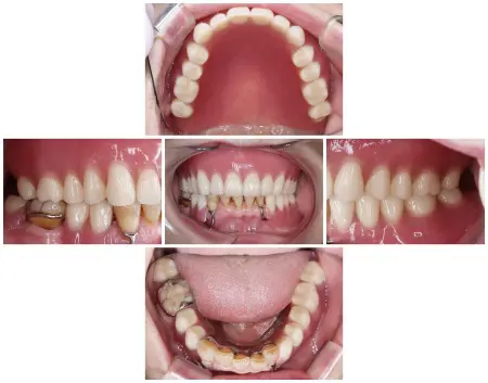
理想的な歯並びと噛み合わせになるように最終的な入れ歯を設計し、患者様のご希望も丁寧にうかがったうえで歯の色や形を決定しています。
後日、完成した新しい入れ歯を上下顎にそれぞれセットし、しっかり噛めることを確認してから治療を終了しました。
現在は、ご自宅での歯磨きにきちんと取り組んでいただくとともに、定期的なクリーニングと経過観察で通院いただいています。
・持病をお持ちの方や、服用中のお薬の種類によっては、外科処置ができない場合があります
・外科処置後に腫れ、出血が生じる場合があります
・外科処置後に痛みが長引く場合があります。必要に応じ痛み止めを併用します
・着脱式のため、食後の清掃が必要です
・最初のうちは異物感があり、慣れるまで時間がかかる場合があります
・慣れるまでは、入れ歯の裏側の粘膜に傷ができる場合があります
年齢‧性別
80代女性
診療種別
自由診療
治療期間‧回数の⽬安
約3年
治療費総額の⽬安
605,000円(上顎総入れ歯、下顎部分入れ歯)
| 出勤日 | 火 | 水 | 木 | 金 | 土 |
|---|---|---|---|---|---|
| 前田 | ● | ● | ● | ● | ● |
| 藤川 | / | / | / | ● | ● |
| 石川 | ● | ● | ● | ● | / |
| 根治専門医 今井 |
● | / | / | / | / |
| 根治専門医 新本 |
/ | / | ● | / | / |
| 根治専門医 三枝 |
/ | / | / | / | ● |
| 根治専門医 天野 |
/ | ● | / | ● | / |
| 矯正専門医 手嶋(月1回) |
/ | / | / | ● | / |
| インプラント専門医 簗瀬(月1回) |
/ | / | / | / | ● |
| 歯科衛生士 | ● | ● | ● | ● | ● |
| 診療時間 | 月 | 火 | 水 | 木 | 金 | 土 | 日 | 祝 |
|---|---|---|---|---|---|---|---|---|
| 9:30 - 12:30 | / | 〇 | 〇 | 〇 | 〇 | 〇 | / | / |
| 14:00 - 17:00 | / | 〇 | 〇 | 〇 | 〇 | 〇 | / | / |
【休診日】月曜日・日曜日・祝日
※お電話は診療時間内にお願いいたします。
ドクター出勤日
| 出勤日 | 火 | 水 | 木 | 金 | 土 |
|---|---|---|---|---|---|
| 前田 | ● | ● | ● | ● | ● |
| 藤川 | / | / | / | ● | ● |
| 石川 | ● | ● | ● | ● | / |
| 根治専門医 今井 |
● | / | / | / | / |
| 根治専門医 新本 |
/ | / | ● | / | / |
| 根治専門医 三枝 |
/ | / | / | / | ● |
| 根治専門医 天野 |
/ | ● | / | ● | / |
| 矯正専門医 手嶋(月1回) |
/ | / | / | ● | / |
| インプラント専門医 簗瀬(月1回) |
/ | / | / | / | ● |
| 歯科衛生士 | ● | ● | ● | ● | ● |
閉じる