CASE
CASE
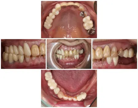
「上の前歯の被せ物と歯の間に隙間ができているので診てほしい」とご相談いただきました。
拝見したところ、上の前歯のうち1本は欠損しており、土台となる両隣の歯と合わせて3本に「前装冠」の「ブリッジ」が装着されていました。
前装冠とは金属フレームの表面にプラスチックの「硬質レジン」を貼り付けた保険適用の被せ物です。
前装冠のブリッジは2003年に当院で装着しましたが、時間が経ち古くなったことで歯との間に隙間ができ段差が生じていました。
このまま放置すると汚れが蓄積し、虫歯の再発リスクが高まるため、新しい被せ物で修復する必要があると診断しました。
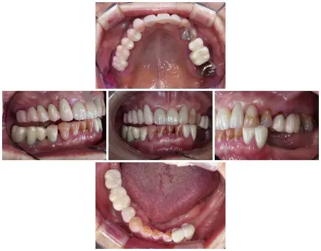
診断内容を丁寧にお伝えしたうえで、上の前歯3本に装着されている前装冠を取り外し、ブリッジを作り直すことを説明しました。
ブリッジの材質には、耐久性に優れ、自然な白さと透明感がある「ジルコニア」を提案し、同意いただきました。
まず前装冠を取り外し、土台となる歯の形をきれいに整えてから、型取りを行っています。
後日、完成したジルコニア製の被せ物「フルジルコニアブリッジ」を装着し、治療を終了しました。
・装着に際し、天然歯を削る必要があります
・硬い素材の場合、他の天然歯を傷つけることがあります
・噛み合わせや歯ぎしりが強い場合、セラミックが割れる可能性があります
・一部の治療を除き、自費診療(保険適用外治療)です
・土台となる歯に負担がかかるため、将来的に歯が揺れたり、歯の根が割れたりする可能性があります
・噛み合わせや歯ぎしりが強い場合、被せ物が破損する可能性があります
年齢‧性別
70代女性
診療種別
自由診療
治療期間‧回数の⽬安
約4ヶ月
治療費総額の⽬安
※記載の料金は治療当時のものです。
最新の治療費はお問い合わせください。
561,000円
| 出勤日 | 火 | 水 | 木 | 金 | 土 |
|---|---|---|---|---|---|
| 前田 | ● | ● | ● | ● | ● |
| 藤川 | / | / | / | ● | ● |
| 石川 | ● | ● | ● | ● | / |
| 根治専門医 今井 |
● | / | / | / | / |
| 根治専門医 新本 |
/ | / | ● | / | / |
| 根治専門医 三枝 |
/ | / | / | / | ● |
| 根治専門医 天野 |
/ | ● | / | ● | / |
| 矯正専門医 手嶋(月1回) |
/ | / | / | ● | / |
| インプラント専門医 簗瀬(月1回) |
/ | / | / | / | ● |
| 歯科衛生士 | ● | ● | ● | ● | ● |
| 診療時間 | 月 | 火 | 水 | 木 | 金 | 土 | 日 | 祝 |
|---|---|---|---|---|---|---|---|---|
| 9:30 - 12:30 | / | 〇 | 〇 | 〇 | 〇 | 〇 | / | / |
| 14:00 - 17:00 | / | 〇 | 〇 | 〇 | 〇 | 〇 | / | / |
【休診日】月曜日・日曜日・祝日
※お電話は診療時間内にお願いいたします。
ドクター出勤日
| 出勤日 | 火 | 水 | 木 | 金 | 土 |
|---|---|---|---|---|---|
| 前田 | ● | ● | ● | ● | ● |
| 藤川 | / | / | / | ● | ● |
| 石川 | ● | ● | ● | ● | / |
| 根治専門医 今井 |
● | / | / | / | / |
| 根治専門医 新本 |
/ | / | ● | / | / |
| 根治専門医 三枝 |
/ | / | / | / | ● |
| 根治専門医 天野 |
/ | ● | / | ● | / |
| 矯正専門医 手嶋(月1回) |
/ | / | / | ● | / |
| インプラント専門医 簗瀬(月1回) |
/ | / | / | / | ● |
| 歯科衛生士 | ● | ● | ● | ● | ● |
閉じる