CASE
CASE
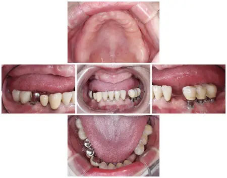
「20年以上前に他院で埋めた左上奥歯のインプラントの痛みと、10年前に作った右上の部分入れ歯が外れやすい。あと、ところどころ歯茎が腫れて痛みもあり、左下の歯がないのも気になる」とご相談いただきました。
拝見したところ、左上の奥歯にはあごの骨にネジを埋め込む「インプラント」が施されており、インプラント周囲の歯茎が炎症を起こす「インプラント周囲炎」が認められました。さらに、上左右の前歯の歯根の先には、膿が溜まる「根尖性(こんせんせい)歯周炎」も生じています。
残念ながら、これらの炎症によりインプラントや歯を支える骨が溶けてしまい、インプラントと上の前歯は温存することが困難でした。
また左下の前歯は被せ物が外れ、歯根の内側に広範囲の虫歯ができており、進行具合から見ても歯を残すことが難しい状態です。
加えて、右の上下奥歯は欠損しており、右上に装着された入れ歯が外れやすいことから、しっかり噛むことができなくなっています。
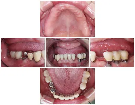
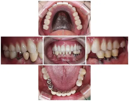
以上を踏まえ、残すことが困難な歯やインプラントは取り除き、新しい入れ歯とインプラントでしっかり噛めるように治療を行う必要があると診断しました。
上の前歯と古いインプラントをすべて取り除いたあと、人工歯で補う入れ歯「総義歯(フルデンチャー)」を装着し、右下の歯にはインプラントを埋入してしっかり噛めるようにする治療を提案したところ、同意いただきました。
まず、大学病院で左上のインプラントを除去したあと、上の前歯については患者様の職業が料理人であることを考慮し、味見がしやすいように仮の部分入れ歯を作製してから段階的に抜歯を行いました。
すべての歯を抜いたあとに型取りを実施し、患者様の過去の口元の写真を参考にフルデンチャーを作製しています。
右下の治療は、CT撮影であごの骨の量や厚みがインプラントに適しているかを確認したうえで、インプラントを埋入し、被せ物を装着して治療を終了しました。
左下前歯の抜歯を行った際、将来のインプラント治療を見据えて骨の量を増やす「増骨」を施し、骨の厚みや高さが不足しないよう処置しています。
・着脱式のため、食後の清掃が必要です
・最初のうちは異物感があり、慣れるまで時間がかかる場合があります
・外科手術のため、術後に痛みや腫れ、違和感を伴います
・メンテナンスを怠ったり、喫煙したりすると、お口の中に大きな悪影響を及ぼし、インプラント周囲炎などにかかる可能性があります
・持病をお持ちの方や、服用中のお薬の種類によっては、外科処置ができない場合があります
・外科処置後に痛みが長引く場合があります。必要に応じ痛み止めを併用します
年齢‧性別
60代女性
診療種別
自由診療
治療期間‧回数の⽬安
約1年
治療費総額の⽬安
※記載の料金は治療当時のものです。
最新の治療費はお問い合わせください。
2,159,300円
| 出勤日 | 火 | 水 | 木 | 金 | 土 |
|---|---|---|---|---|---|
| 前田 | ● | ● | ● | ● | ● |
| 石川 | ● | ● | ● | ● | / |
| 根治専門医 今井 |
● | / | / | / | / |
| 根治専門医 新本 |
/ | / | ● | / | / |
| 根治専門医 三枝 |
/ | / | / | / | ● |
| 根治専門医 天野 |
/ | ● | / | ● | / |
| 矯正専門医 手嶋(月1回) |
/ | / | / | ● | / |
| インプラント専門医 簗瀬(月1回) |
/ | / | / | / | ● |
| 歯科衛生士 | ● | ● | ● | ● | ● |
| 診療時間 | 月 | 火 | 水 | 木 | 金 | 土 | 日 | 祝 |
|---|---|---|---|---|---|---|---|---|
| 9:30 - 12:30 | / | 〇 | 〇 | 〇 | 〇 | 〇 | / | / |
| 14:00 - 17:00 | / | 〇 | 〇 | 〇 | 〇 | 〇 | / | / |
【休診日】月曜日・日曜日・祝日
※お電話は診療時間内にお願いいたします。
ドクター出勤日
| 出勤日 | 火 | 水 | 木 | 金 | 土 |
|---|---|---|---|---|---|
| 前田 | ● | ● | ● | ● | ● |
| 石川 | ● | ● | ● | ● | / |
| 根治専門医 今井 |
● | / | / | / | / |
| 根治専門医 新本 |
/ | / | ● | / | / |
| 根治専門医 三枝 |
/ | / | / | / | ● |
| 根治専門医 天野 |
/ | ● | / | ● | / |
| 矯正専門医 手嶋(月1回) |
/ | / | / | ● | / |
| インプラント専門医 簗瀬(月1回) |
/ | / | / | / | ● |
| 歯科衛生士 | ● | ● | ● | ● | ● |
閉じる