むし歯や歯周病の予防に特化した町田の歯医者「ウェルネスデンタルクリニック(旧:前田歯科医院)」の症例を紹介

〒194-0013 東京都町田市原町田6-26-11 岡本ビル2F

新規の患者様もLINEからお問い合わせください。

お友達登録

  • JR横浜線 町田駅から徒歩4分
  • 小田急線 町田駅から徒歩4分

診療時間

診療時間
9:30 - 12:30
14:00 - 17:00

【休診日】月曜日・日曜日・祝日

CASE

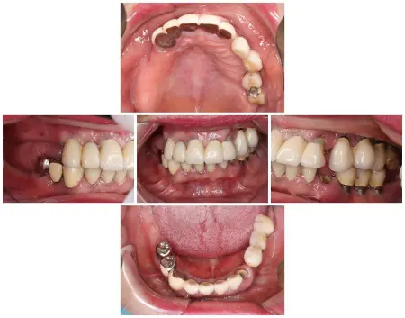
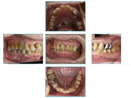
口腔外科治療

検索

to top

LINEから24時間WEB予約できます 無料カウンセリングを予約する