CASE
CASE
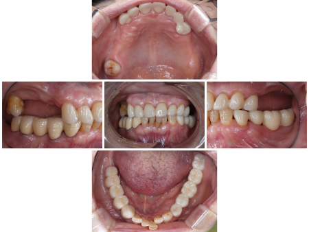
1981年より43年間にわたりご通院いただいている患者様で、今回検診でご来院の際に「入れ歯に違和感があるのと、残っている歯がグラグラしている」とご相談いただきました。
患者様は上の歯の失った部分を金属製の部分入れ歯で補っていましたが、経年劣化によって入れ歯がすり減っていたため、全体的に噛み合わせの高さが低くなり、しっかりと噛めなくなっています。
また、上に残っているご自身の歯のうち、左右4番目の歯(第1小臼歯/4番)は揺れている状態です。
患者様は、できるだけご自身の歯を残したいとご希望でした。
噛み合わせを改善するため、部分入れ歯の作り直しと残っている歯の被せ物治療を行い、全体の噛み合わせを1mm程度上げる治療を提案しました。
患者様が使用している部分入れ歯の場合、修理するよりも新しく作製するほうが作業の工程が短く、費用も抑えられます。加えて、現在使用しているものよりも使用感がよくなることをお伝えしましたが、患者様は作り直しではなく修理を強くご希望されたため、金属製のフレームを修理して再利用することになりました。
また、揺れている左右の歯のうち、右上の歯は残すことが難しいため、抜歯後に入れ歯で補う治療方法を提案したところ、ご了承いただきました。
左上の歯は長持ちしないおそれがありますが、患者様のご希望に沿って温存を選択しています。
まずは右上の歯を抜き、傷の治りを待ってから前歯を中心とした7本(右上犬歯/3番〜左上第1小臼歯)の被せ物治療を開始します。7本の歯全てに神経が残っていたため、神経を温存したままひと回り小さく削って土台を作り、仮歯を装着しました。
次に仮の入れ歯を作製し、噛む高さや歯の形の調整を行います。しっかり噛めることを確認してから、最終的な被せ物として、自然な白さで耐久性に優れた「ジルコニアクラウン」を装着しました。
その後、装着したジルコニアクラウンに合わせて、古い入れ歯を修理します。
古い入れ歯は被せ物をする前の患者様の歯に合わせて作られているため、前歯の裏側がしっかりとフィットしなくなるおそれがありましたが、金属製のフレームを削って対応し、患者様の歯にうまくなじむよう調整しました。
また、入れ歯を安定させるための突起「レスト」も形が合わなくなったので、こちらも削って調整し、治療を終了しました。
・被せ物の装着に際し、天然歯を削る必要があります
・硬い素材の場合、他の天然歯を傷つけることがあります
・噛み合わせや歯ぎしりが強い場合、被せ物が割れる可能性があります
・入れ歯は着脱式のため、食後の清掃が必要です
・最初のうちは異物感があり、慣れるまで時間がかかる場合があります
・慣れるまでは、入れ歯の裏側の粘膜に傷ができる場合があります
年齢‧性別
80代女性
診療種別
自由診療
治療期間‧回数の⽬安
1年
治療費総額の⽬安
※記載の料金は治療当時のものです。
最新の治療費はお問い合わせください。
1,200,000円
| 出勤日 | 火 | 水 | 木 | 金 | 土 |
|---|---|---|---|---|---|
| 前田 | ● | ● | ● | ● | ● |
| 藤川 | / | / | / | ● | ● |
| 石川 | ● | ● | ● | ● | / |
| 根治専門医 今井 |
● | / | / | / | / |
| 根治専門医 新本 |
/ | / | ● | / | / |
| 根治専門医 三枝 |
/ | / | / | / | ● |
| 根治専門医 天野 |
/ | ● | / | ● | / |
| 矯正専門医 手嶋(月1回) |
/ | / | / | ● | / |
| インプラント専門医 簗瀬(月1回) |
/ | / | / | / | ● |
| 歯科衛生士 | ● | ● | ● | ● | ● |
| 診療時間 | 月 | 火 | 水 | 木 | 金 | 土 | 日 | 祝 |
|---|---|---|---|---|---|---|---|---|
| 9:30 - 12:30 | / | 〇 | 〇 | 〇 | 〇 | 〇 | / | / |
| 14:00 - 17:00 | / | 〇 | 〇 | 〇 | 〇 | 〇 | / | / |
【休診日】月曜日・日曜日・祝日
※お電話は診療時間内にお願いいたします。
ドクター出勤日
| 出勤日 | 火 | 水 | 木 | 金 | 土 |
|---|---|---|---|---|---|
| 前田 | ● | ● | ● | ● | ● |
| 藤川 | / | / | / | ● | ● |
| 石川 | ● | ● | ● | ● | / |
| 根治専門医 今井 |
● | / | / | / | / |
| 根治専門医 新本 |
/ | / | ● | / | / |
| 根治専門医 三枝 |
/ | / | / | / | ● |
| 根治専門医 天野 |
/ | ● | / | ● | / |
| 矯正専門医 手嶋(月1回) |
/ | / | / | ● | / |
| インプラント専門医 簗瀬(月1回) |
/ | / | / | / | ● |
| 歯科衛生士 | ● | ● | ● | ● | ● |
閉じる