CASE
CASE
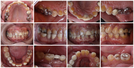
「上の前歯が痛い」とご相談いただきました。
拝見したところ、右上前歯2本(中切歯/1番、側切歯/2番)の根の周りに炎症が認められ、痛みの原因になっていました。
このままでは最悪の場合、歯を失う可能性があり、歯を残すためには歯の内部を清掃する「根管治療」を行ったあと、被せ物を装着する治療が必要です。
しかし今回の患者様の場合、前歯のすり減りが激しく噛み合わせが低くなっていたため、このままの状態で治療を進めると被せ物を装着した歯が下の前歯に強く当たり過ぎて、被せ物や土台、歯の根も割れてしまう恐れがあります。
また、全体的に歯の着色も見られ、詳しく調べてみたところ、歯の形成期にテトラサイクリン系の抗生物質を大量に服用したことが原因で歯が変色してしまう「テトラサイクリン歯」であることもわかりました。
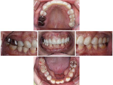
根の炎症を改善するために右上前歯2本の根管治療を行ったあと、上の歯すべて(右の第2大臼歯/7番〜左の第2大臼歯)に強度のある被せ物を装着する治療を提案しました。
右上前歯2本だけでなく、上の歯全体に新たな被せ物を入れることで、噛み合わせが全体的に上がり被せ物や歯の根が割れるリスクを回避できます。また、白くそろった歯の色に仕上がることもお伝えしたところ、同意いただきました。
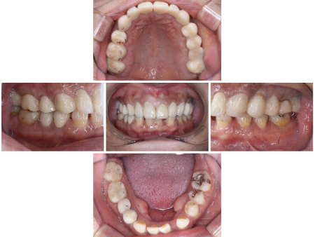
まずは右上前歯2本に精密な根管治療を行うために、治療する歯のみをゴムのシートで保護する「ラバーダム防湿」を施し、唾液や細菌が入らないよう清潔な環境を整えてから細部まで丁寧に処置しました。
その後、上の歯すべてに仮歯である「プロビショナルクラウン」を作製し、噛み合わせや歯ぎしりをした際の歯の当たり具合などをしっかり確認して形を整えたあと、プロビショナルクラウンの形に応じて最終的な被せ物を装着しています。
被せ物については、口を開けた時に特に目立つ前歯6本(右上犬歯/3番~左上犬歯)は患者様と相談した結果、耐久性と審美性に優れた自費の被せ物「ジルコニアクラウン」を選択されています。
欠損していた左上奥歯(第2大臼歯/6番)には両隣の歯を土台にして橋渡しのように被せ物を入れる保険の「ブリッジ」がもともと入っていましたが、今回前歯同様、ジルコニアクラウンでやり替えを行いました。
最後に、左右上の歯2本(第1小臼歯/4番)は保険の白い被せ物「CAD/CAM冠」を、右上奥歯2本(第1大臼歯、第2大臼歯)も保険の金属製の被せ物をそれぞれ装着し、治療を終了しています。
・まれに根管治療後も再治療、外科手術、抜歯などの処置が必要となる場合があります
・根管治療中まれに器具の破折、被せ物や詰め物など修復物の損傷、歯の破折が起こる場合があります
・根管治療中や治療後に不快症状が出たり、治療後に痛みや腫れなどが生じたりする可能性があります
・セラミックの装着に際し、天然歯を削る必要があります
・噛み合わせや歯ぎしりが強い場合、セラミックが割れる可能性があります
年齢‧性別
50代女性
診療種別
保険診療
自由診療
治療期間‧回数の⽬安
12ヶ月
治療費総額の⽬安
※記載の料金は治療当時のものです。
最新の治療費はお問い合わせください。
1,530,000円
| 出勤日 | 火 | 水 | 木 | 金 | 土 |
|---|---|---|---|---|---|
| 前田 | ● | ● | ● | ● | ● |
| 藤川 | / | / | / | ● | ● |
| 石川 | ● | ● | ● | ● | / |
| 根治専門医 今井 |
● | / | / | / | / |
| 根治専門医 新本 |
/ | / | ● | / | / |
| 根治専門医 三枝 |
/ | / | / | / | ● |
| 根治専門医 天野 |
/ | ● | / | ● | / |
| 矯正専門医 手嶋(月1回) |
/ | / | / | ● | / |
| インプラント専門医 簗瀬(月1回) |
/ | / | / | / | ● |
| 歯科衛生士 | ● | ● | ● | ● | ● |
| 診療時間 | 月 | 火 | 水 | 木 | 金 | 土 | 日 | 祝 |
|---|---|---|---|---|---|---|---|---|
| 9:30 - 12:30 | / | 〇 | 〇 | 〇 | 〇 | 〇 | / | / |
| 14:00 - 17:00 | / | 〇 | 〇 | 〇 | 〇 | 〇 | / | / |
【休診日】月曜日・日曜日・祝日
※お電話は診療時間内にお願いいたします。
ドクター出勤日
| 出勤日 | 火 | 水 | 木 | 金 | 土 |
|---|---|---|---|---|---|
| 前田 | ● | ● | ● | ● | ● |
| 藤川 | / | / | / | ● | ● |
| 石川 | ● | ● | ● | ● | / |
| 根治専門医 今井 |
● | / | / | / | / |
| 根治専門医 新本 |
/ | / | ● | / | / |
| 根治専門医 三枝 |
/ | / | / | / | ● |
| 根治専門医 天野 |
/ | ● | / | ● | / |
| 矯正専門医 手嶋(月1回) |
/ | / | / | ● | / |
| インプラント専門医 簗瀬(月1回) |
/ | / | / | / | ● |
| 歯科衛生士 | ● | ● | ● | ● | ● |
閉じる