CASE
CASE
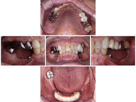
1988年から来院中の患者様より「入れ歯が破損したので直したい」とご相談いただきました。
拝見したところ、下左右の歯がない「欠損部」に部分入れ歯が装着されており、特に左下の人工歯は上の歯に強く当たっているため、かなりすり減っていました。
さらに左下の入れ歯と入れ歯を固定するためのマグネットも破損しています。
下の前歯6本(右犬歯/3番~左犬歯)は、上前歯と強く当たり著しく削れる「咬耗(こうもう)」が生じていました。下左右の奥歯がないため、唯一自分の歯で噛める前歯部分に負担がかかりすぎたことが咬耗の原因と考えられます。
また、咬耗により噛み合わせたときの上下の顎の垂直的距離である「咬合高径」が低くなり、特にマグネット部分の隙間が小さくなっていました。
この咬合高径の低さも、入れ歯が破損した理由の一つです。
入れ歯は何度か破折し修理していますが、今回修理したとしても、隙間の不足により再び壊れてしまうことが予想されました。そのためまずは、下前歯に被せ物を装着して咬合高径を高くし、欠損部の隙間を増やしてから入れ歯の厚みを確保する必要があると診断しました。
下の前歯6本(右犬歯~左犬歯)は審美性に優れ、強度もある人工ダイヤモンドを用いた被せ物「フルジルコニアクラウン」で咬合高径を高くし、その後入れ歯を修理する治療計画を提案し、同意いただきました。
まず、下の前歯6本を土台の形にきれいに削り整えてから仮歯を作り、咬合高径を確認したあとに型取りを行い、フルジルコニアクラウンを装着します。
下前歯の治療後に右上前歯(犬歯)が破折して被せ物が外れたため、歯ぐきや歯を支える骨の形を整える「歯冠延長術」で、被せ物が安定する土台を作りました。
その後、歯根内の細菌を取り除く「根管治療」を再度行い、下前歯と同じフルジルコニアクラウンを装着しました。
前歯の治療によって咬合高径が高くなり、下左右の欠損部の隙間も広がったため、そこに合うように部分入れ歯の修理を行います。
入れ歯の裏側に歯ぐきのようなピンク色の樹脂である「即時重合レジン」をのせ、やわらかいうちに口腔内に入れて修理し、入れ歯の厚みを確保しました。また、一部の歯だけに余分な力がかからないよう、噛み合わせもしっかり調整しました。
入れ歯の修理の際に厚みは確保しましたが、何度も修理している入れ歯は新しい入れ歯に比べると頑丈さに欠けます。
そのため、今後は部分入れ歯を新しく作り変えることをご検討いただく予定です。
・入れ歯は着脱式のため、食後の清掃が必要です
・慣れるまでは、入れ歯の裏側の粘膜に傷ができる場合があります
・装着に際し、天然歯を削る必要があります
・硬い素材の場合、他の天然歯を傷つけることがあります
・外科処置後に腫れ、出血が生じる場合があります
年齢‧性別
80代男性
診療種別
自由診療
治療期間‧回数の⽬安
20ヶ月
治療費総額の⽬安
※記載の料金は治療当時のものです。
最新の治療費はお問い合わせください。
1,168,900円
| 出勤日 | 火 | 水 | 木 | 金 | 土 |
|---|---|---|---|---|---|
| 前田 | ● | ● | ● | ● | ● |
| 藤川 | / | / | / | ● | ● |
| 石川 | ● | ● | ● | ● | / |
| 根治専門医 今井 |
● | / | / | / | / |
| 根治専門医 新本 |
/ | / | ● | / | / |
| 根治専門医 三枝 |
/ | / | / | / | ● |
| 根治専門医 天野 |
/ | ● | / | ● | / |
| 矯正専門医 手嶋(月1回) |
/ | / | / | ● | / |
| インプラント専門医 簗瀬(月1回) |
/ | / | / | / | ● |
| 歯科衛生士 | ● | ● | ● | ● | ● |
| 診療時間 | 月 | 火 | 水 | 木 | 金 | 土 | 日 | 祝 |
|---|---|---|---|---|---|---|---|---|
| 9:30 - 12:30 | / | 〇 | 〇 | 〇 | 〇 | 〇 | / | / |
| 14:00 - 17:00 | / | 〇 | 〇 | 〇 | 〇 | 〇 | / | / |
【休診日】月曜日・日曜日・祝日
※お電話は診療時間内にお願いいたします。
ドクター出勤日
| 出勤日 | 火 | 水 | 木 | 金 | 土 |
|---|---|---|---|---|---|
| 前田 | ● | ● | ● | ● | ● |
| 藤川 | / | / | / | ● | ● |
| 石川 | ● | ● | ● | ● | / |
| 根治専門医 今井 |
● | / | / | / | / |
| 根治専門医 新本 |
/ | / | ● | / | / |
| 根治専門医 三枝 |
/ | / | / | / | ● |
| 根治専門医 天野 |
/ | ● | / | ● | / |
| 矯正専門医 手嶋(月1回) |
/ | / | / | ● | / |
| インプラント専門医 簗瀬(月1回) |
/ | / | / | / | ● |
| 歯科衛生士 | ● | ● | ● | ● | ● |
閉じる